Polyclonal Antibody to PLC- Gamma2 (phospho-Tyr1217)
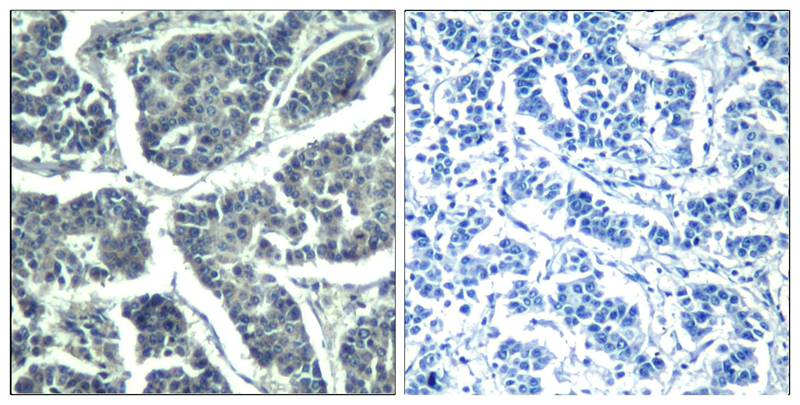
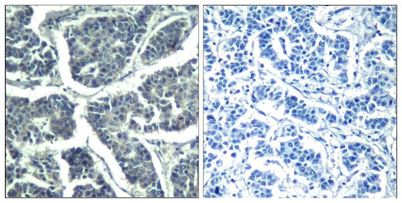
Figure 1: Immunohistochemical analysis of paraffin-embedded human breast carcinoma tissue using PLC-g2(Phospho-Tyr1217) Antibody 35-1315 (left) or the same antibody preincubated with blocking peptide(right).
Roll over image to zoom in
Shipping Info:
For estimated delivery dates, please contact us at [email protected]
| Format : | Purified |
| Amount : | 100 µl |
| Isotype : | Rabbit IgG |
| Content : | Supplied at 1.0mg/mL in phosphate buffered saline (without Mg2+ and Ca2+), pH 7.4, 150mM NaCl, 0.02% sodium azide and 50% glycerol. |
| Storage condition : | Store the antibody at 4°C, stable for 6 months. For long-term storage, store at -20°C. Avoid repeated freeze and thaw cycles. |
The production of the second messenger molecules diacylglycerol (DAG) and inositol 1,4,5-trisphosphate (IP3) is mediated by activated phosphatidylinositol-specific phospholipase C enzymes. It is a crucial enzyme in transmembrane signaling.
Predicted MW: 150kd, Immunohistochemistry: 1:50~1:100
For Research Use Only. Not for use in diagnostic/therapeutics procedures.
| Post transnational modification: | Phosphorylated on tyrosine residues by CSF1R (By similarity). Phosphorylated on tyrosine residues by BTK and SYK; upon ligand-induced activation of a variety of growth factor receptors and immune system receptors. Phosphorylation leads to increased phospholipase activity. |
| BioGrid: | 111352. 45 interactions. |
|
There are currently no product reviews
|





















.png)













