Polyclonal Antibody to TYK2 (Ab-1054)

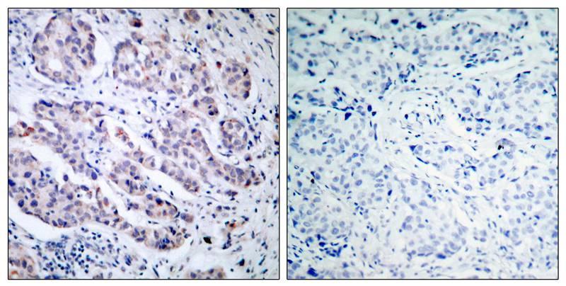
Figure 1: Immunohistochemical analysis of paraffin-embedded human breast carcinoma tissue using TYK2 (Ab-1054) Antibody 35-1468 (left) or the same antibody preincubated with blocking peptide(right).
Roll over image to zoom in
Shipping Info:
For estimated delivery dates, please contact us at [email protected]
Format : | Purified |
Amount : | 100 µl |
Isotype : | Rabbit IgG |
Content : | Supplied at 1.0mg/mL in phosphate buffered saline (without Mg2+ and Ca2+), pH 7.4, 150mM NaCl, 0.02% sodium azide and 50% glycerol. |
Storage condition : | Store the antibody at 4°C, stable for 6 months. For long-term storage, store at -20°C. Avoid repeated freeze and thaw cycles. |
TYK2 encodes a member of the tyrosine kinase and, more specifically, the Janus kinases (JAKs) protein families. This protein associates with the cytoplasmic domain of type I and type II cytokine receptors and promulgate cytokine signals by phosphorylating receptor subunits. It is also component of both the type I and type III interferon signaling pathways. As such, it may play a role in anti-viral immunity. A mutation in this gene has been associated with hyperimmunoglobulin E syndrome (HIES) - a primary immunodeficiency characterized by elevated serum immunoglobulin E.
Zheng H, et al. (2005) Mol Cell Proteomics. 4(6):721-730.
Gauzzi MC, et al. (1996) J Biol Chem. 271(34): 20494-20500.
Predicted MW: 140kd, Immunohistochemistry: 1:50~1:100
For Research Use Only. Not for use in diagnostic/therapeutics procedures.
Tissue Specificity: | Observed in all cell lines analyzed. Expressed in a variety of lymphoid and non-lymphoid cell lines. |
BioGrid: | 113148. 103 interactions. |
There are currently no product reviews
|