Rabbit Monoclonal Antibody to PD1(Clone :BSR1)(Discontinued)

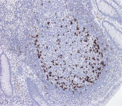
Figure-1: Immunohistochemical analysis of PD1 (Clone: BSR1) antibody on appendix x200 using 1:200 dilution.
Roll over image to zoom in

Shipping Info:
For estimated delivery dates, please contact us at [email protected]
Amount : | 0.5 ml |
Content : | TRIS with 0.03% sodium azide, pH7.2 |
Storage condition : | Store at 4°C |
Immunohistochemical Analysis :-1:200
For Research Use Only. Not for use in diagnostic/therapeutics procedures.
Subcellular location: | Membrane |
BioGrid: | 111160. 61 interactions. |
There are currently no product reviews
|