Rat Anti-Mouse MAdCAM-1-Biotin Conjugated(Discontinued)

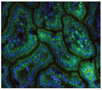
Figure 1: BALB/c mouse intestine sections were stained with Rat Anti-Mouse MAdCAM-1-Biotin followed by Streptavidin-FITC . Sections were mounted with DAPI-Fluoromount-G® .
Roll over image to zoom in

Shipping Info:
For estimated delivery dates, please contact us at [email protected]
Amount : | 0.5 mg |
Isotype : | Rat IgG2a, kappa |
Content : | 0.5 mg/ml, 1.0 ml, Supplied in PBS/Sodium azide |
Storage condition : | Store at 2-8°C |
Subcellular location: | Membrane |
Post transnational modification: | O-glycosylated; contains syalic acid. The Ser/Thr-rich mucin-like domain may provide possible sites for O-glycosylation. |
Tissue Specificity: | Highly expressed on high endothelial venules (HEV) of organized intestinal lymphoid tissues like the Peyer patches and mesenteric lymph nodes, and in the lamina propria of the intestine. Some expression found in the spleen, and low levels of expression in the peripheral lymph nodes and the lactating mammary gland. No expression was detected in the liver, kidneys, lungs or in normal brain. Expressed as well in brain endothelioma cells, and mucosal tissues which are in a chronic state of inflammation, such as inflammed pancreas. |
There are currently no product reviews
|