Recombinant Monoclonal Antibody to TRIM29 (Lung Squamous Cell Carcinoma Marker)(Clone : TRIM29/9257R)
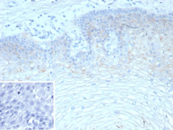
Figure 1: Formalin-fixed, paraffin-embedded human esophagus stained with TRIM29 Recombinant Rabbit Monoclonal Antibody (TRIM29/9257R). Inset: PBS instead of primary antibody; secondary only negative control.
Roll over image to zoom in
Shipping Info:
For estimated delivery dates, please contact us at [email protected]
| Format : | Purified |
| Amount : | 100 µg |
| Isotype : | IgG / Kappa |
| Purification : | Prepared in 1mM PBS with 0.05% BSA & 0.05% azide. Also available WITHOUT BSA & azide at 1.0mg/ml. |
| Content : | This antibody is available for research use only and is not approved for use in diagnosis. Concentration: 200ug/ml of Ab purified from Bioreactor Concentrate by Protein A/G. |
| Storage condition : | Antibody with azide - store at 2 to 8°C. Antibody without azide - store at -20 to -80°C. Antibody is stable for 24 months. Non-hazardous. No MSDS required. |
| Gene : | TRIM29 |
| Gene ID : | 23650 |
| Uniprot ID : | Q14134 |
| Alternative Name : | Tripartite motif-containing protein 29, Ataxia telangiectasia group D-associated protein, Ataxia telangiectasia group D complementing gene (ATDC); Tripartite motif-containing protein 29 (TRIM29); |
| Immunogen Information : | Recombinant fragment (around aa 1-200) of human TRIM29 protein (exact sequence is proprietary) |
It recognizes a 66kDa protein, which is identified as Tripartite motif-containing protein 29 (TRIM29). It interacts with the intermediate filament protein vimentin, a substrate for the PKC family of protein kinases, and with hPKCI-1, an inhibitor of the PKCs. TRIM29 protein contains both zinc finger and leucine zipper motifs, suggesting that the it may form homodimers and possibly associate with DNA. High expression of TRIM29 has been reported in gastric cancer and pancreatic cancer, and correlates with enhanced tumor growth and lymph node metastasis. TRIM29 is also able to distinguish lung squamous cell carcinoma from lung adenocarcinoma with ~90% positive accuracy, when used in a panel with TTF-1, p63, CK5/6, and Napsin-A antibodies.
For Research Use Only. Not for use in diagnostic/therapeutics procedures.
|
There are currently no product reviews
|




















.png)











