Recombinant Rabbit Monoclonal Antibody to Caldesmon, HMW (h-Caldesmon) (Smooth Muscle Marker) (Clone : CALD1/1424R)

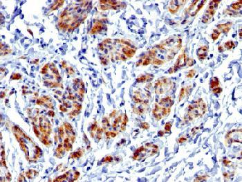
Figure 1: Formalin-fixed, paraffin-embedded human Uterus stained with Caldesmon Rabbit Recombinant Monoclonal Antibody (CALD1/1424R).
Roll over image to zoom in
Shipping Info:
For estimated delivery dates, please contact us at [email protected]
Format : | Purified |
Amount : | 100 µg |
Isotype : | Rabbit IgG |
Purification : | Purified Ab with BSA and Azide at 200ug/ml |
Content : | 200ug/ml of Ab purified by Protein A/G. Prepared in 10mM PBS with 0.05% BSA & 0.05% azide. Also available WITHOUT BSA & azide at 1.0mg/ml. |
Storage condition : | Store the antibody at 4°C; stable for 6 months. For long-term storage; store at -20°C. Avoid repeated freeze and thaw cycles. |
Western Blot (1-2µg/ml); ,Immunohistology (Formalin-fixed) (1-2µg/ml for 30 minutes at RT),(Staining of formalin-fixed tissues requires boiling tissue sections in 1mM EDTA, pH 7.5-8.5, for 10-20 min followed by cooling at RT for 20 minutes),
For Research Use Only. Not for use in diagnostic/therapeutics procedures.
Subcellular location: | Cytoplasm, Cytoplasm, Cytoplasm |
Post transnational modification: | In non-muscle cells, phosphorylation by CDK1 during mitosis causes caldesmon to dissociate from microfilaments. Phosphorylation reduces caldesmon binding to actin, myosin, and calmodulin as well as its inhibition of actomyosin ATPase activity. Phosphorylation also occurs in both quiescent and dividing smooth muscle cells with similar effects on the interaction with actin and calmodulin and on microfilaments reorganization. CDK1-mediated phosphorylation promotes Schwann cell migration during peripheral nerve regeneration (By similarity). |
Tissue Specificity: | High-molecular-weight caldesmon (isoform 1) is predominantly expressed in smooth muscles, whereas low-molecular-weight caldesmon (isoforms 2, 3, 4 and 5) are widely distributed in non-muscle tissues and cells. Not expressed in skeletal muscle or heart. |
BioGrid: | 107251. 49 interactions. |
There are currently no product reviews
|