Recombinant Rabbit Monoclonal Antibody to Calponin-1 (Smooth Muscle Marker)(Clone : CNN1/1408R)

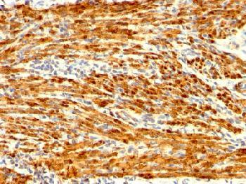
Figure 1: Formalin-fixed, paraffin-embedded Human Uterus stained with Calponin Rabbit Recombinant Monoclonal Antibody (CNN1/1408R).
Roll over image to zoom in
Shipping Info:
For estimated delivery dates, please contact us at [email protected]
Format : | Purified |
Amount : | 100 µg |
Isotype : | Rabbit IgG |
Purification : | Purified Ab with BSA and Azide at 200ug/ml |
Content : | 200ug/ml of Ab purified by Protein A/G. Prepared in 10mM PBS with 0.05% BSA & 0.05% azide. Also available WITHOUT BSA & azide at 1.0mg/ml. |
Storage condition : | Store the antibody at 4°C; stable for 6 months. For long-term storage; store at -20°C. Avoid repeated freeze and thaw cycles. |
Flow Cytometry (1-2µg/million cells); Immunofluorescence (1-2µg/ml); Immunohistochemistry (Formalin-fixed) (1-2µg/ml for 30 minutes at RT)(Staining of formalin-fixed tissues requires heating tissue sections in 10mM Tris with 1mM EDTA, pH 9.0, for 45 min at 95°C followed by cooling at RT for 20 minutes)
For Research Use Only. Not for use in diagnostic/therapeutics procedures.
Tissue Specificity: | Smooth muscle, and tissues containing significant amounts of smooth muscle. |
BioGrid: | 107664. 19 interactions. |
There are currently no product reviews
|