Recombinant Rabbit Monoclonal Antibody to CD8A (Cytotoxic- & Suppressor T-Cell Marker)(Clone : C8/1779R)

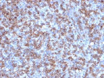
Figure 1: Formalin-fixed, paraffin-embedded human Lymphoma stained with CD8a Rabbit Recombinant Monoclonal Antibody (C8/1779R).
Roll over image to zoom in
Shipping Info:
For estimated delivery dates, please contact us at [email protected]
Format : | Purified |
Amount : | 100 µg |
Isotype : | Rabbit IgG |
Purification : | Purified Ab with BSA and Azide at 200ug/ml |
Content : | 200ug/ml of recombinant MAb purified by Protein A. Prepared in 10mM PBS with 0.05% BSA & 0.05% azide. Also available WITHOUT BSA & azide at 1.0mg/ml. |
Storage condition : | Store the antibody at 4°C; stable for 6 months. For long-term storage; store at -20°C. Avoid repeated freeze and thaw cycles. |
Immunohistochemistry (Formalin-fixed) (1-2µg/ml for 30 minutes at RT)(Staining of formalin-fixed tissues is enhanced by heating tissue sections in 10mM Tris with 1mM EDTA, pH 9.0 for 45 min at 95°C followed by cooling at RT for 20 minutes)
For Research Use Only. Not for use in diagnostic/therapeutics procedures.
Subcellular location: | Secreted |
Post transnational modification: | Phosphorylated in cytotoxic T-lymphocytes (CTLs) following activation. |
Tissue Specificity: | CD8 on thymus-derived T-cells usually consists of a disulfide-linked alpha/CD8A and a beta/CD8B chain. Less frequently, CD8 can be expressed as a CD8A homodimer. A subset of natural killer cells, memory T-cells, intraepithelial lymphocytes, monocytes and dendritic cells expresses CD8A homo-dimers. Expressed at the cell surface of plasmacytoid dendritic cells upon herpes simplex virus-1 stimulation. |
BioGrid: | 107363. 14 interactions. |
There are currently no product reviews
|