Recombinant Rabbit Monoclonal Antibody to p38 MAPK (Clone: RM245)(Discontinued)

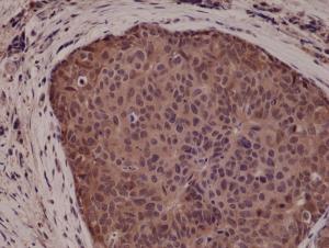
Figure 1: Immunohistochemical staining of formalin fixed and paraffin embedded human breast cancer tissue sections using Anti-p38 MAPK Clone: RM245 at a 1:5000 dilution.
Roll over image to zoom in

Shipping Info:
For estimated delivery dates, please contact us at [email protected]
Format : | Purified |
Amount : | 100 µl |
Isotype : | Rabbit IgG |
Purification : | Protein A affinity purified from an animal origin-free culture supernatant |
Content : | Antibody in 50% Glycerol/PBS with 1% BSA and 0.09% sodium azide |
Storage condition : | Store at -20°C. Avoid repeated freeze and thaw cycles. |
Gene : | MAPK14 |
Gene ID : | 1432 , 5600 , 6300 |
Uniprot ID : | Q16539 , Q15759 , P53778 |
Alternative Name : | MAPK14, CSBP, CSBP1, CSBP2, CSPB1, MXI2, SAPK2A |
Immunogen Information : | A peptide corresponding to human p38 MAPK. |
Clone RM245 reacts to human p38 MAPK. This antibody may also react to rat and mouse p38 MAPK, as predicted by immunogen homology. Immunohistochemistry (IHC): 1:1000-1:5000 dilution; Western Blot (WB): 1:1000-1:2000 dilution.
For Research Use Only. Not for use in diagnostic/therapeutics procedures.
There are currently no product reviews
|