Recombinant Rabbit Monoclonal Antibody to phospho-Akt (Ser473), AKT1 (phospho S473) (Clone: RM251)(Discontinued)

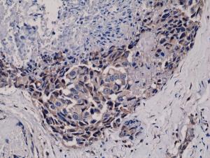
Figure 1: Immunohistochemical staining of formalin fixed and paraffin embedded human breast cancer tissue sections using Anti-Phospho-Akt (Ser473) Clone: RM251 at a 1:400 dilution.
Roll over image to zoom in

Shipping Info:
For estimated delivery dates, please contact us at [email protected]
Format : | Purified |
Amount : | 100 µl |
Isotype : | Rabbit IgG |
Purification : | Protein A affinity purified from an animal origin-free culture supernatant |
Content : | Antibody in 50% Glycerol/PBS with 1% BSA and 0.09% sodium azide |
Storage condition : | Store at -20°C. Avoid repeated freeze and thaw cycles. |
Gene : | AKT1 |
Gene ID : | 207 , 208 , 10000 |
Uniprot ID : | P31749 , P31751 , Q9Y243 |
Alternative Name : | AKT1, PKB, RAC |
Immunogen Information : | A phospho-peptide corresponding to human Phospho-Akt (Ser473) |
Clone RM251 reacts to Akt only when phosphorylated at Ser473. There is no cross-reactivity with Akt without phosphorylation at Ser473. This antibody may also react to bovine, mouse or rat Phospho-Akt (Ser473), as predicted by immunogen homology. Immunohistochemistry (IHC): 1:200-1:500 dilution; Western Blot (WB): 1:1000-1:2000 dilution.
For Research Use Only. Not for use in diagnostic/therapeutics procedures.
There are currently no product reviews
|