Recombinant Rabbit Monoclonal Antibody to Phospho-Stat3 (Tyr705), STAT3 (phospho Tyr705) (Clone: RM261)(Discontinued)
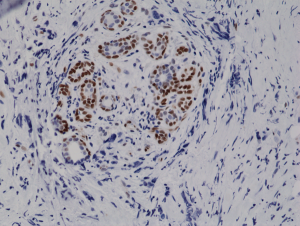
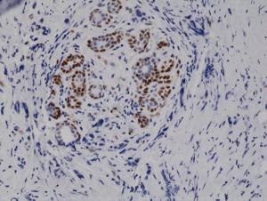
Figure 1: Immunohistochemical staining of formalin fixed and paraffin embedded human breast cancer tissue sections using Anti-Phospho-Stat3 (Tyr705) Rabbit Monoclonal Antibody (Clone: RM261) at a 1:10,000 dilution.
Roll over image to zoom in
Shipping Info:
For estimated delivery dates, please contact us at [email protected]
| Format : | Purified |
| Amount : | 100 µl |
| Isotype : | Rabbit IgG |
| Purification : | Protein A affinity purified from an animal origin-free culture supernatant |
| Content : | Antibody in 50% Glycerol/PBS with 1% BSA and 0.09% sodium azide |
| Storage condition : | Store at -20°C. Avoid repeated freeze and thaw cycles. |
Clone RM261 reacts to human Stat3 only when phosphorylated at Tyr705. There is no cross-reactivity to stat3 without phosphorylation at Tyr705. This antibody may also react to mouse or rat Phospho-Stat3 (Tyr705), as predicted by immunogen homology. Immunohistochemistry (IHC): 1:1000-1:10,000 dilution; Western Blot (WB): 1:1000-1:2000 dilution.
For Research Use Only. Not for use in diagnostic/therapeutics procedures.
| Subcellular location: | Cytoplasm, Nucleus |
| Post transnational modification: | Some lysine residues are oxidized to allysine by LOXL3, leading to disrupt STAT3 dimerization and inhibit STAT3 transcription activity (PubMed:28065600). Oxidation of lysine residues to allysine on STAT3 preferentially takes place on lysine residues that are acetylated (PubMed:28065600). |
| Tissue Specificity: | Heart, brain, placenta, lung, liver, skeletal muscle, kidney and pancreas. |
| BioGrid: | 112651. 245 interactions. |
|
There are currently no product reviews
|





















.png)











