Anti-ALK (Anaplastic Lymphoma Kinase) / CD246 Monoclonal Antibody(Clone: ALK1/2766R)

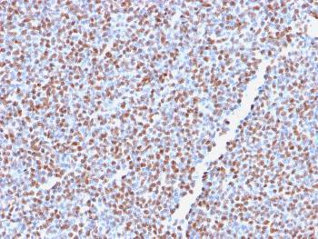
Fig. 1: Formalin-fixed, paraffin-embedded human Anaplastic LC Lymphoma stained with ALK-1 Recombinant Rabbit Monoclonal Antibody (ALK1/2766R).
Roll over image to zoom in
Shipping Info:
For estimated delivery dates, please contact us at [email protected]
Amount : | 100 µg |
Isotype : | Rabbit IgG |
Content : | 200 µg/ml of Ab Purified from Bioreactor Concentrate by Protein A/G. Prepared in 10mM PBS with 0.05% BSA & 0.05% azide. Also available WITHOUT BSA & azide at 1.0mg/ml. |
Storage condition : | Antibody with azide - store at 2 to 8°C. Antibody without azide - store at -20 to -80°C. Antibody is stable for 24 months. Non-hazardous. |
Gene : | ALK |
Gene ID : | 238 |
Uniprot ID : | Q9UM73 |
Alternative Name : | ALK Tyrosine Kinase Receptor, ALK/NPM1 fusion gene, Anaplastic lymphoma kinase Ki1, Anaplastic Lymphoma Kinase p80, anaplastic lymphoma receptor tyrosine kinase, CD246, mutant anaplastic lymphoma kinase, NBLST3 |
Immunogen Information : | Recombinant full-length human ALK protein |
Immunohistochemistry (Formalin-fixed) (1-2ug/ml for 30 minutes at RT)(Staining of formalin-fixed tissues requires heating tissue sections in 10mM Tris with 1mM EDTA, pH 9.0, for 45 min at 95°C followed by cooling at RT for 20 minutes)
For Research Use Only. Not for use in diagnostic/therapeutics procedures.
There are currently no product reviews
|