Anti-Bcl-2 (Apoptosis and Follicular Lymphoma Marker) Recombinant Mouse Monoclonal Antibody (Clone:rBCL2/782)

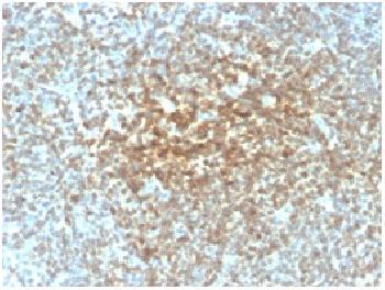
Figure 1: Formalin-fixed, paraffin-embedded human Follicular Lymphoma stained with Bcl-2 Mouse Recombinant Monoclonal Antibody (rBCL2/782).
Roll over image to zoom in
Shipping Info:
For estimated delivery dates, please contact us at [email protected]
Format : | Purified |
Amount : | 100 µg |
Isotype : | Mouse IgG1, kappa |
Purification : | Protein A/G |
Content : | 200µg/ml of recombinant MAb purified by Protein A/G. Prepared in 10mM PBS with 0.05% BSA & 0.05% azide. Also available WITHOUT BSA & azide at 1.0mg/ml. |
Storage condition : | Antibody with azide - store at 2 to 8°C. Antibody without azide - store at -20 to -80°C. Antibody is stable for 24 months. Non-hazardous. |
This antibody recognizes a protein of 25-26kDa, identified as the bcl-2?lpha oncoprotein. It shows no cross-reaction with Bcl-x or Bax protein. Expression ofbcl-2?lpha oncoprotein inhibits the programmed cell death (apoptosis). In most follicular lymphomas, neoplastic germinal centers express high levels of bcl-2?lpha protein, whereas the normal or hyperplastic germinal centers are negative. Consequently, this antibody is valuable when distinguishing between reactive and neoplastic follicular proliferation in lymph node biopsies. It may also be used in distinguishing between those follicular lymphomas that express bcl-2 protein and the small number in which the neoplastic cells are bcl-2 negative.
Flow Cytometry (1-2µg/million cells); ,Immunofluorescence (1-2µg/ml); Western Blot (1-2µg/ml); ,Immunohistochemistry (Formalin-fixed) (1-2µg/ml for 30 minutes at RT),(Staining of formalin-fixed tissues requires heating tissue sections in 10mM Tris with 1mM EDTA, pH 9.0, for 45 min at 95 °C followed by cooling at RT for 20 minutes),
For Research Use Only. Not for use in diagnostic/therapeutics procedures.
Subcellular location: | Mitochondrion outer membrane, Nucleus membrane, Endoplasmic reticulum membrane |
Post transnational modification: | Monoubiquitinated by PRKN, leading to increase its stability. Ubiquitinated by SCF(FBXO10), leading to its degradation by the proteasome. |
Tissue Specificity: | Expressed in a variety of tissues. |
BioGrid: | 107068. 102 interactions. |
There are currently no product reviews
|