Anti-Blood Group Antigen A (CD173) Monoclonal Antibody(Clone: HE-10)

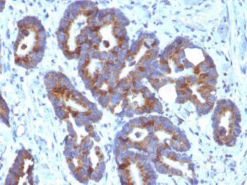
Fig. 1: Formalin-fixed, paraffin-embedded human Colorectal Carcinoma stained with Blood Group Antigen A Monoclonal Antibody (HE-10)
Roll over image to zoom in
Shipping Info:
For estimated delivery dates, please contact us at [email protected]
Amount : | 100 µg |
Isotype : | Mouse IgM, kappa |
Content : | 200 µg/ml of Ab Purified from Bioreactor Concentrate. Prepared in 10mM PBS with 0.05% BSA & 0.05% azide. Also available WITHOUT BSA & azide at 1.0mg/ml. |
Storage condition : | Antibody with azide - store at 2 to 8°C. Antibody without azide - store at -20 to -80°C. Antibody is stable for 24 months. Non-hazardous. |
Gene : | ABO |
Gene ID : | 28 |
Uniprot ID : | P16442 |
Alternative Name : | A transferase; ABO; B transferase; CD173; Fucosylglycoprotein 3-alpha-galactosyltransferase; Fucosylglycoprotein alpha-N-acetylgalactosaminyltransferase; Glycoprotein-fucosylgalactoside alpha-galactosyltransferase; Glycoprotein-fucosylgalactoside alpha-N-acetylgalactosaminyltransferase; Histo-blood group A transferase; Histo-blood group B transferase; NAGAT |
Immunogen Information : | Mixture of erythrocytes of blood group Aand glyco protein fraction isolated from the saliva of secretors with blood group A |
Agglutination; Immunofluorescence (1-2ug/ml); Immunohistochemistry (Formalin-fixed) (1-2ug/ml for 30 minutes at RT)(Staining of formalin-fixed tissues requires heating tissue sections in 10mM Tris with 1mM EDTA, pH 9.0, for 45 min at 95°C followed by cooling at RT for 20 minutes);
For Research Use Only. Not for use in diagnostic/therapeutics procedures.
There are currently no product reviews
|