Anti-CD137 / 4-1BB / TNFRSF9 Monoclonal Antibody(Clone: 4-1BB/3201)
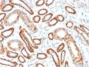
Fig. 1: Formalin-fixed, paraffin-embedded human Renal Cell Carcinoma stained with CD137-Monospecific Mouse Monoclonal Antibody (4-1BB/3201).
Roll over image to zoom in
Shipping Info:
For estimated delivery dates, please contact us at [email protected]
| Amount : | 100 µg |
| Isotype : | Mouse IgG1, kappa |
| Content : | 200 µg/ml of Ab Purified from Bioreactor Concentrate by Protein A/G. Prepared in 10mM PBS with 0.05% BSA & 0.05% azide. Also available WITHOUT BSA & azide at 1.0mg/ml. |
| Storage condition : | Antibody with azide - store at 2 to 8°C. Antibody without azide - store at -20 to -80°C. Antibody is stable for 24 months. Non-hazardous. |
| Gene : | TNFRSF9 |
| Gene ID : | 3604 |
| Uniprot ID : | Q07011 |
| Alternative Name : | 4-1BB Ligand Receptor T Cell; Antigen 4-1BB Homolog; CDw137; HLDA VI; Homolog of Mouse 4 1BB; induced by lymphocyte activation (ILA); Interleukin activated receptor homolog of Mouse Ly63; T-cell antigen 4-1BB / ILA homolog; Tumor necrosis factor receptor superfamily member 9 |
| Immunogen Information : | A recombinant fragment (around aa 19-188) of human CD137 / 4-1BB / TNFRSF9 protein (exact sequence is proprietary) |
ELISA (For coating, order antibody without BSA);,Immunofluorescence (1-2ug/ml); Flow Cytometry (1-2ug/million cells); Western Blot (1-2ug/ml); Immunohistochemistry (Formalin-fixed) (2-4ug/ml for 30 minutes at RT),(Staining of formalin-fixed tissues requires heating tissue sections in 10mM Tris with 1mM EDTA, pH 9.0, for 45 min at 95 °C followed by cooling at RT for 20 minutes),
For Research Use Only. Not for use in diagnostic/therapeutics procedures.
|
There are currently no product reviews
|


























.png)













