Anti-CD21 (Mature B-Cell & Follicular Dendritic Cell Marker) Monoclonal Antibody(Clone: rCR2/1952)

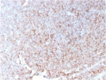
Fig. 1: Formalin-fixed, paraffin-embedded human spleen stained with CD21 Recombinant Mouse Monoclonal Antibody (rCR2/1952).
Roll over image to zoom in
Shipping Info:
For estimated delivery dates, please contact us at [email protected]
Amount : | 100 µg |
Isotype : | Mouse IgG1, kappa |
Content : | 200 µg/ml of Ab Purified from Bioreactor Concentrate by Protein A/G. Prepared in 10mM PBS with0.05% BSA & 0.05% azide. Also available WITHOUT BSA &azide at 1.0mg/ml. |
Storage condition : | Antibody with azide - store at 2 to 8°C. Antibody without azide - store at -20 to -80°C. Antibody is stable for 24 months. Non-hazardous. |
Gene : | CR2 |
Gene ID : | 1380 |
Uniprot ID : | P20023 |
Alternative Name : | CD21; Complement C3d receptor (C3DR); Complement Receptor type 2 (CR2); CVID7; EBV receptor; EBV-R; Epstein-Barr virus receptor; EVBR; SLEB9 |
Immunogen Information : | Recombinant fragment (around aa 44-196) of human CR2 (CD21) protein (exact sequence is proprietary) |
Immunohistochemistry (Formalin-fixed) (1-2ug/ml for 30 min at RT),(Staining of formalin-fixed tissues requires heating tissue sections in 10mM Tris with 1mM EDTA, pH 9.0, for 45 min at 95°C followed by cooling at RT for 20 minutes);
For Research Use Only. Not for use in diagnostic/therapeutics procedures.
There are currently no product reviews
|