Anti-CD47 / IAP (Integrin Associated Protein) Monoclonal Antibody(Clone: CD47/3019)

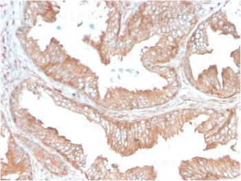
Fig. 1: Formalin-fixed, paraffin-embedded human Prostate Carcinoma stained with CD47 Mouse Monoclonal Antibody (IAP/3019).
Roll over image to zoom in
Shipping Info:
For estimated delivery dates, please contact us at [email protected]
Amount : | 100 µg |
Isotype : | Mouse IgG1, kappa |
Content : | 200 µg/ml of Ab Purified from Bioreactor Concentrate by Protein A/G. Prepared in 10mM PBS with 0.05% BSA & 0.05% azide. Also available WITHOUT BSA & azide at 1.0mg/ml. |
Storage condition : | Antibody with azide - store at 2 to 8°C. Antibody without azide - store at -20 to -80°C. Antibody is stable for 24 months. Non-hazardous. |
Gene : | CD47 |
Gene ID : | 961 |
Uniprot ID : | Q08722 |
Alternative Name : | Antigenic Surface Determinant Protein OA3; IAP; Integrin Associated Protein; Integrin Associated Signal Transducer; MER6; OA3; Protein MER6; Rh Related Antigen |
Immunogen Information : | A recombinant fragment (around aa 18-135) of human CD47 protein (exact sequence is proprietary) |
ELISA (For coating, order without BSA);,Flow Cytometry (1-2ug/million cells); Immunofluorescence (1-2ug/ml); ,Immunohistochemistry (Formalin-fixed) (1-2ug/ml for 30 minutes at RT),(Staining of formalin-fixed tissues requires heating tissue sections in 10mM Tris with 1mM EDTA, pH 9.0, for 45 min at 95 °C followed by cooling at RT for 20 minutes),
For Research Use Only. Not for use in diagnostic/therapeutics procedures.
There are currently no product reviews
|