Anti-CD52 (Epididymis-Specific Protein 5) Recombinant Rabbit Monoclonal Antibody (Clone:CD52/2276R)

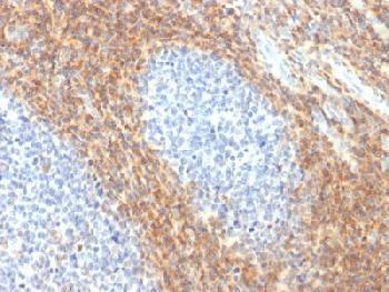
Figure 1: Formalin-fixed, paraffin-embedded Human Tonsil stained with CD52 Rabbit Recombinant Monoclonal Antibody (CD52/2276R).
Roll over image to zoom in
Shipping Info:
For estimated delivery dates, please contact us at [email protected]
Format : | Purified |
Amount : | 100 µg |
Isotype : | Rabbit IgG |
Purification : | Protein A/G |
Content : | 200µg/ml of recombinant MAb purified by Protein A/G. Prepared in 10mM PBS with 0.05% BSA & 0.05% azide. Also available WITHOUT BSA & azide at 1.0mg/ml. |
Storage condition : | Antibody with azide - store at 2 to 8°C. Antibody without azide - store at -20 to -80°C. Antibody is stable for 24 months. Non-hazardous. |
Gene : | CD52 |
Gene ID : | 1043 |
Uniprot ID : | P31358 |
Alternative Name : | Cambridge pathology 1 antigen; CAMPATH 1; CAMPATH 1 antigen; CD52; CD52 antigen; CDw52; CDW52 antigen; Epididymal secretory protein E5; Epididymis secretory sperm binding protein Li 171mP; He5; Human epididymis-specific protein 5 |
Immunogen Information : | Recombinant full-length human CD52 protein |
Human CD52 is expressed at high density by lymphocytes, monocytes, eosinophils, thymocytes and macrophages. It is expressed by most lymphoid derived malignancies, although expression on myeloma cells is variable.
Immunohistochemistry (Formalin-fixed) (1-2µg/ml for 30 minutes at RT)(Staining of formalin-fixed tissues requires heating tissue sections in 10mM Tris with 1mM EDTA, pH 9.0, for 45 min at 95°C followed by cooling at RT for 20 minutes);
For Research Use Only. Not for use in diagnostic/therapeutics procedures.
Subcellular location: | Cell membrane |
BioGrid: | 107473. 2 interactions. |
There are currently no product reviews
|