Anti-CD61 / Integrin '3 / Platelet Glycoprotein IIIa (Platelet Marker) Monoclonal Antibody(Clone: rITGB3/2145)

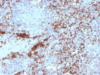
Fig. 1: Formalin-fixed, paraffin-embedded human spleen stained with CD61 Recombinant Mouse Monoclonal Antibody (rITGB3/2145).
Roll over image to zoom in
Shipping Info:
For estimated delivery dates, please contact us at [email protected]
Amount : | 100 µg |
Isotype : | Mouse IgG1, kappa |
Content : | 200 µg/ml of Ab Purified from Bioreactor Concentrate by Protein A/G. Prepared in 10mM PBS with 0.05% BSA & 0.05% azide. Also available WITHOUT BSA & azide at 1.0mg/ml. |
Storage condition : | Antibody with azide - store at 2 to 8°C. Antibody without azide - store at -20 to -80°C. Antibody is stable for 24 months. Non-hazardous. |
Gene : | ITGB3 |
Gene ID : | 3690 |
Uniprot ID : | P05106 |
Alternative Name : | BDPLT2; GP3A; GPIIIa; GT; HPA 1; HPA 4; Integrin beta-3; ITGB3; NAIT; Platelet fibrinogen receptor beta subunit; Platelet glycoprotein IIIa; PTP |
Immunogen Information : | Recombinant human ITGB3 protein fragment (aa 385-490) (exact sequence is proprietary) |
Immunohistochemistry (Formalin-fixed) (1-2ug/ml for 30 minutes at RT),(Staining of formalin-fixed tissues requires heating tissue sections in 10mM Tris with 1mM EDTA, pH 9.0, for 45 min at 95°C followed by cooling at RT for 20 minutes) ,
For Research Use Only. Not for use in diagnostic/therapeutics procedures.
There are currently no product reviews
|