Monoclonal Antibody to gp100 / Melanosome / PMEL17 / SILV (Melanoma Marker)(Clone : SPM286)
 
		
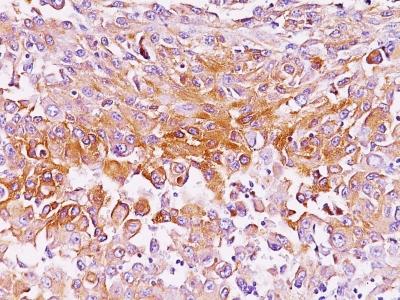
			Formalin-fixed, paraffin-embedded human Melanoma stained with gp100 Monoclonal Antibody (SPM286).
Roll over image to zoom in
Shipping Info:
For estimated delivery dates, please contact us at [email protected]
| Format : | Purified | 
| Amount : | 100 µg | 
| Isotype : | Mouse IgG2b, kappa | 
| Purification : | Affinity Chromatography | 
| Content : | 100 µg in 500 µl PBS containing 0.05% BSA and 0.05% sodium azide. Sodium azide is highly toxic. | 
| Storage condition : | Store the antibody at 4°C; stable for 6 months. For long-term storage; store at -20°C. Avoid repeated freeze and thaw cycles. | 
Flow Cytometry (1-2ug/million cells); Immunofluorescence (1-2ug/ml); Immunohistochemistry (Formalin-fixed) (1-2ug/ml for 30 minutes at RT)(Staining of formalin-fixed tissues requires heating tissue sections in 10mM Tris with 1mM EDTA, pH 9.0, for 45 min at 95°C followed by cooling at RT for 20 minutes);
For Research Use Only. Not for use in diagnostic/therapeutics procedures.
| Subcellular location: | Secreted | 
| Post transnational modification: | N-glycosylated. O-glycosylated; contains sialic acid. | 
| Tissue Specificity: | Preferentially expressed in melanomas. Some expression was found in dysplastic nevi. Not found in normal tissues nor in carcinomas. Normally expressed at low levels in quiescent adult melanocytes but overexpressed by proliferating neonatal melanocytes and during tumor growth. | 
| BioGrid: | 112381. 59 interactions. | 
| 
                    	There are currently no product reviews | 























.png)







 
					



