Anti-CFTR (Cystic Fibrosis Transmembrane Conductance Regulator) Monoclonal Antibody (Clone: CFTR/1341)

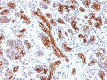
Fig.1: Formalin-fixed, paraffin-embedded human Pancreas stained with CFTR Monoclonal Antibody (CFTR/1341).
Roll over image to zoom in
Shipping Info:
For estimated delivery dates, please contact us at [email protected]
Amount : | 100 µg |
Isotype : | Mouse IgG1, kappa |
Content : | 200µg/ml of Ab Purified from Bioreactor Concentrate by Protein A/G. Prepared in 10mM PBS with 0.05% BSA & 0.05% azide. Also available WITHOUT BSA & azide at 1.0mg/ml. |
Storage condition : | Antibody with azide - store at 2 to 8°C. Antibody without azide - store at -20 to -80°C. Antibody is stable for 24 months. |
Gene : | CFTR |
Gene ID : | 1080 |
Uniprot ID : | P13569 |
Alternative Name : | ABC35; ATP Binding Cassette Superfamily C Member 7 (ABCC7); cAMP-dependent chloride channel; CFTR; CFTR/MRP; Channel conductance-controlling ATPase; Cystic Fibrosis Transmembrane Conductance Regulator; MRP7; TNR CFTR |
Immunogen Information : | Recombinant human CFTR fragment |
Immunohistochemistry (Formalin-fixed) (1-2ug/ml for 30 minutes at RT)(Staining of formalin-fixed tissues is enhanced by heating tissue sections in 10mM Tris with 1mM EDTA, pH 9.0 for 45 min at 95°C followed by cooling at RT for 20 minutes)
For Research Use Only. Not for use in diagnostic/therapeutics procedures.
There are currently no product reviews
|