Anti-NSE gamma (Neuron Specific Enolase, gamma) (Neuroendocrine Marker) Monoclonal Antibody(Clone: SPM347)

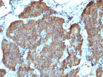
Fig. 1: Formalin-fixed, paraffin-embedded human Pheochromocytoma stained with NSE gamma Monoclonal Antibody (SPM347).
Roll over image to zoom in
Shipping Info:
For estimated delivery dates, please contact us at [email protected]
Amount : | 100 µg |
Isotype : | Mouse IgG2b, kappa |
Content : | 200 µg/ml of Ab Purified from Bioreactor Concentrate by Protein A/G. Prepared in 10mM PBS with 0.05% BSA & 0.05% azide. Also available WITHOUT BSA & azide at 1.0mg/ml. |
Storage condition : | Antibody with azide - store at 2 to 8°C. Antibody without azide - store at -20 to -80°C. Antibody is stable for 24 months. Non-hazardous. |
Gene : | ENO2 |
Gene ID : | 2026 |
Uniprot ID : | P09104 |
Alternative Name : | 2-phospho-D-glycerate hydrolyase; ENO2; ENOG; Enolase 2 gamma neuronal; Enolase2; Gamma-enolase; Neural enolase; Neuron specific gamma enolase; Neuron-specific enolase; NSE |
Immunogen Information : | A synthetic peptide of human NSE gamma (around aa416-433; exact sequence is proprietary) |
Recognizes a protein of about 50kDa, which is identified as gamma-enolase. Three isoenzymes of enolases are identified, alpha, beta and gamma. Alpha-isoform is expressed in most tissues, whereas beta-form is expressed predominantly in muscle tissue whereas gamma-enolase is found only in nervous tissue. These isoforms exist as both homodimers and heterodimers, and they play a role in converting phosphoglyceric acid to phosphenolpyruvic acid in the glycolytic pathway. NSE-gamma is a useful marker to identify peripheral nerves and tumors of neuro-endocrine origins, such as pheochromocytomas.It it be usually employed in combination with other markers such as Synaptophysin,Chromogranin A, and Neurofilament.
Flow Cytometry (1-2ug/million cells); Immunofluorescence (1-2ug/ml); Western Blot (1-2ug/ml); Immunohistochemistry (Formalin-fixed) (0.1-0.2ug/ml for 30 min at RT)(Staining of formalin-fixed tissues requires heating tissue sections in 10mM Tris with 1mM EDTA, pH 9.0, for 45 min at 95°C followed by cooling at RT for 20 minutes);
For Research Use Only. Not for use in diagnostic/therapeutics procedures.
There are currently no product reviews
|