Anti-Drebrin 1 (DBN1) Monoclonal Antibody(Clone: DBN1/3393)

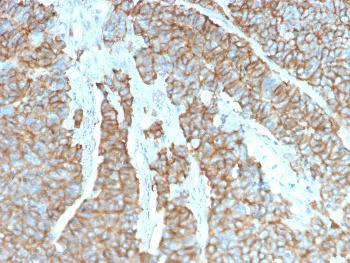
Fig. 1: Formalin-fixed, paraffin-embedded human Neuroendocrine Tumor stained with Drebrin-1 Mouse Monoclonal Antibody (DBN1/3393).
Roll over image to zoom in
Shipping Info:
For estimated delivery dates, please contact us at [email protected]
Amount : | 100 µg |
Isotype : | Mouse IgG1, kappa |
Content : | 200 µg/ml of Ab Purified from Bioreactor Concentrate. Prepared in 10mM PBS with 0.05% BSA & 0.05% azide. Also available WITHOUT BSA & azide at 1.0mg/ml. |
Storage condition : | Antibody with azide - store at 2 to 8°C. Antibody without azide - store at -20 to -80°C. Antibody is stable for 24 months. Non-hazardous. |
Drebrins (developmentally regulated brain proteins) are cytoplasmic proteins that bind F-actin in the brain and are involved in cell migration, extension of neuronal processes and plasticity of dendrites. There are three isoforms: two embryonic types (E1 and E2); and an adult type (A), generated by alternative RNA splicing from a single Drebrin gene. Drebrins are expressed mainly in brain neurons but are also found in skeletal muscle, heart, placenta, pancreas and kidney. Drebrin has been designated as a marker of the dendritic spine. Decreases in Drebrin levels in the brain have been been associated with Alzheimer s disease and Down syndrome.
Western Blot (1-2ug/ml); Immunohistochemistry (Formalin-fixed) (1-2ug/ml for 30 min at RT),(Staining of formalin-fixed tissues requires heating tissue sections in 10mM Tris with 1mM EDTA, pH 9.0, for 45 min at 95°C followed by cooling at RT for 20 minutes);
For Research Use Only. Not for use in diagnostic/therapeutics procedures.
There are currently no product reviews
|