Anti-Estrogen Receptor, alpha (Marker of Estrogen Dependence) Recombinant Rabbit Monoclonal Antibody (Clone:ESR1/2299R)

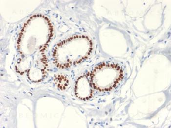
Figure 1: Formalin-fixed, paraffin-embedded human Breast Carcinoma stained with Estrogen Receptor, alpha Rabbit Recombinant Monoclonal Antibody (ESR1/2299R).
Roll over image to zoom in
Shipping Info:
For estimated delivery dates, please contact us at [email protected]
Format : | Purified |
Amount : | 100 µg |
Isotype : | Rabbit IgG, kappa |
Purification : | Protein A/G |
Content : | 200µg/ml of recombinant MAb purified by Protein A/G. Prepared in 10mM PBS with 0.05% BSA & 0.05% azide. Also available WITHOUT BSA & azide at 1.0mg/ml. |
Storage condition : | Antibody with azide - store at 2 to 8°C. Antibody without azide - store at -20 to -80°C. Antibody is stable for 24 months. Non-hazardous. |
Flow Cytometry (1-2µg/million cells); Western Blot (1-2µg/ml); ,Immunohistochemistry (Formalin-fixed) (1-2µg/ml for 30 minutes at RT),(Staining of formalin-fixed tissues requires heating tissue sections in 10mM Tris with 1mM EDTA, pH 9.0, for 45 min at 95 °C followed by cooling at RT for 20 minutes),
For Research Use Only. Not for use in diagnostic/therapeutics procedures.
Subcellular location: | Nucleus, Golgi apparatus, Cell membrane |
Post transnational modification: | Palmitoylated by ZDHHC7 and ZDHHC21. Palmitoylation is required for plasma membrane targeting and for rapid intracellular signaling via ERK and AKT kinases and cAMP generation, but not for signaling mediated by the nuclear hormone receptor. |
Tissue Specificity: | Widely expressed. Isoform 3 is not expressed in the pituitary gland. |
BioGrid: | 108403. 738 interactions. |
There are currently no product reviews
|