Anti-FOXA1 / HNF3A Monoclonal Antibody(Clone: FOXA1/1519)

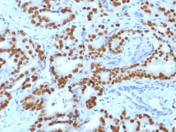
Fig. 1: Formalin-fixed, paraffin-embedded human Prostate Carcinoma stained with FOXA1 Monoclonal Antibody (FOXA1/1519).
Roll over image to zoom in
Shipping Info:
For estimated delivery dates, please contact us at [email protected]
Amount : | 100 µg |
Isotype : | Mouse IgG2a, kappa |
Content : | 200 µg/ml of Ab Purified from Bioreactor Concentrate by Protein A/G. Prepared in 10mM PBS with 0.05% BSA & 0.05% azide. Also available WITHOUT BSA & azide at 1.0mg/ml. |
Storage condition : | Antibody with azide - store at 2 to 8°C. Antibody without azide - store at -20 to -80°C. Antibody is stable for 24 months. Non-hazardous. |
Gene : | FOXA1 |
Gene ID : | 3169 |
Uniprot ID : | P55317 |
Alternative Name : | Forkhead box protein A1 (FOXA1); Hepatocyte nuclear factor 3-alpha (HNF-3-alpha or HNF-3A or HNF3A); Transcription factor 3A (TCF-3A or TCF3A) |
Immunogen Information : | Recombinant fragment of human FOXA1 protein (aa372-472) (exact sequence is proprietary) |
Flow Cytometry (1-2ug/million cells); Immunofluorescence (1-2ug/ml); Western Blot (1-2ug/ml); ,Immunohistochemistry (Formalin-fixed) (1-2ug/ml for 30 minutes at RT),(Staining of formalin-fixed tissues requires heating tissue sections in 10mM Tris with 1mM EDTA, pH 9.0, for 45 min at 95 °C followed by cooling at RT for 20 minutes),
For Research Use Only. Not for use in diagnostic/therapeutics procedures.
There are currently no product reviews
|