Anti-FSH Monoclonal Antibody (Clone:IHC580)-Ready to Use

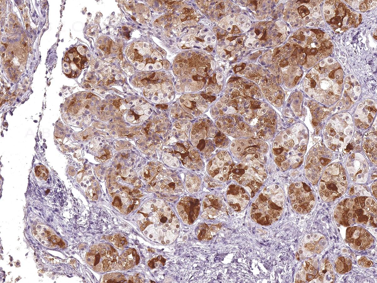
Figure 1: Immunohistochemical analysis of FSH (IHC580) on Pituitary Gland
Roll over image to zoom in
Shipping Info:
For estimated delivery dates, please contact us at [email protected]
Format : | Predilute |
Amount : | 7 ml |
Purification : | Protein A/G Chromatography |
Storage condition : | Store at 2°C - 8°C. |
Follicle-Stimulating Hormone (FSH) allows for progression of ovarian folliculogenesis, and enables Sertoli cell proliferation in the testis. Anti-FSH reacts with FSH-producing cells, therefore FSH staining is useful for classifying pituitary cancers and understanding pituitary disease.
This product is available in ready to use format, hence no dilution is required.
For Research Use Only. Not for use in diagnostic/therapeutics procedures.
There are currently no product reviews
|