Anti-FSH Monoclonal Antibody (Clone:IHC580)

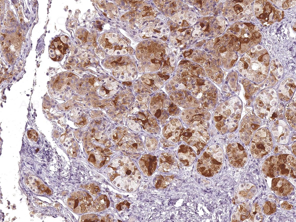
Figure 1: Immunohistochemical analysis of FSH (IHC580) on Pituitary Gland
Roll over image to zoom in
Shipping Info:
For estimated delivery dates, please contact us at [email protected]
Format : | Purified |
Amount : | 1 ml |
Purification : | Protein A/G Chromatography |
Storage condition : | Store at 2°C - 8°C. |
Follicle-Stimulating Hormone (FSH) allows for progression of ovarian folliculogenesis, and enables Sertoli cell proliferation in the testis. Anti-FSH reacts with FSH-producing cells, therefore FSH staining is useful for classifying pituitary cancers and understanding pituitary disease.
Recommended dilutions: Immunohistochemical analysis: 1:100 - 1:200. However, this need to be optimized based on the research applications.
For Research Use Only. Not for use in diagnostic/therapeutics procedures.
There are currently no product reviews
|