Anti-GAD2 / GAD65 (GABAergic Neuronal Marker) Monoclonal Antibody(Clone: GAD2/2362)

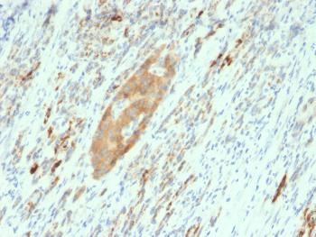
Fig. 1: Formalin-fixed, paraffin-embedded human Pancreas stained with GAD2 (GAD65) Mouse Monoclonal Antibody (GAD2/2362).
Roll over image to zoom in
Shipping Info:
For estimated delivery dates, please contact us at [email protected]
Amount : | 100 µg |
Isotype : | Mouse IgG2b, kappa |
Content : | 200 µg/ml of Ab Purified from Bioreactor Concentrate by Protein A/G. Prepared in 10mM PBS with 0.05% BSA & 0.05% azide. Also available WITHOUT BSA & azide at 1.0mg/ml. |
Storage condition : | Antibody with azide - store at 2 to 8°C. Antibody without azide - store at -20 to -80°C. Antibody is stable for 24 months. Non-hazardous. |
Gene : | GAD2 |
Gene ID : | 2572 |
Uniprot ID : | Q05329 |
Alternative Name : | DCE2; GAD2; Glutamic Acid Decarboxylase 2 (Pancreas); Glutamic Acid Decarboxylase 2 (Pancreatic Islets and Brain 65kDa); Glutamic Acid Decarboxylase 65 (GAD65) |
Immunogen Information : | Recombinant fragment of human GAD2 (GAD65) protein (around aa 6-99) (exact sequence is proprietary) |
This MAb recognizes a protein of 65kDa, which is identified as glutamic acid decarboxylase 2 (GDA2). It is responsible for catalyzing the production of gamma-aminobutyric acid from L-glutamic acid. There are two forms of glutamic acid decarboxylases (GAD's) that are found in the brain: GAD2 (also known as GAD65) and GAD1 (also known as GAD67). GAD1 and GAD2 are members of the group II decarboxylase family of proteins and are responsible for catalyzing the rate-limiting step in the production of GABA (-aminobutyric acid) from L-glutamic acid. Althoµgh both GAD's are found in the brain, GAD2 localizes to synaptic vesicle membranes in nerve terminals, while GAD1 is distributed throµghout the cell. A pathogenic role for GAD2 is identified in the human pancreas since it has been identified as an autoantibody and an auto-reactive T cell target in insulin-dependent diabetes.
Immunohistochemistry (Formalin-fixed) (0.1-0.2ug/ml for 30 min at RT)(Staining of formalin-fixed tissues requires heating tissue sections in 10mM Tris with 1mM EDTA, pH 9.0, for 45 min at 95°C followed by cooling at RT for 20 minutes);
For Research Use Only. Not for use in diagnostic/therapeutics procedures.
There are currently no product reviews
|