Mouse Monoclonal Antibody to VAMP8 (N-term)(Clone: 1414CT354.12.23.93)(Discontinued)

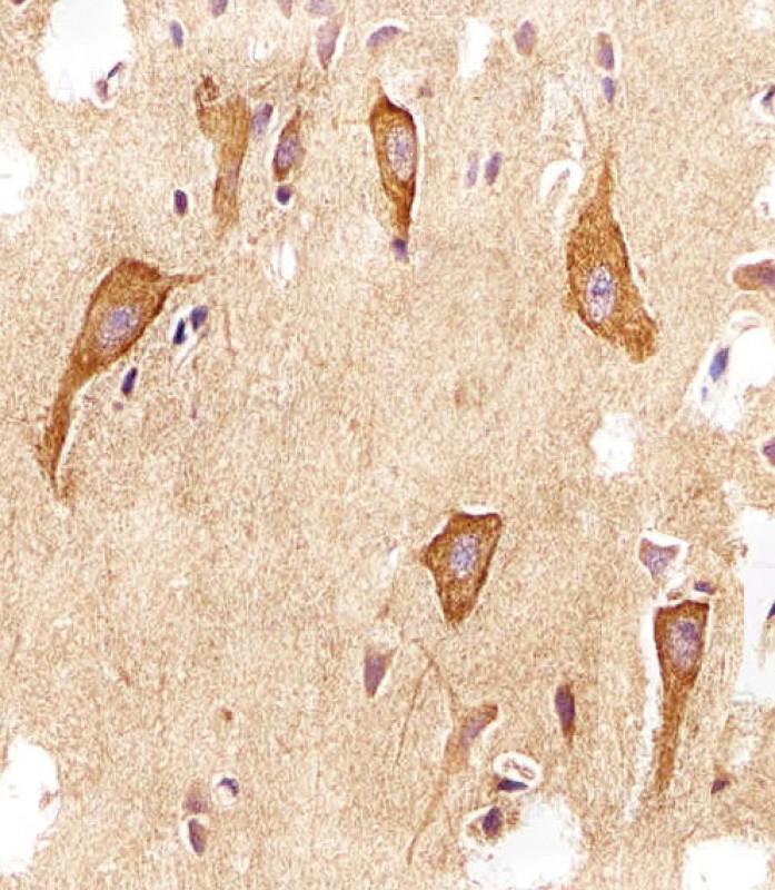
Figure 1: Immunohistochemical analysis of paraffin-embedded h brain section using VAMP8 Antibody (10-6622). VAMP8 Antibody was diluted at 1:25 dilution. A undiluted biotinylated goat polyvalent antibody was used as the secondary, followed by DAB staining.
Roll over image to zoom in

Shipping Info:
For estimated delivery dates, please contact us at [email protected]
Format : | Purified |
Amount : | 400 µl |
Isotype : | Mouse IgG1,Kappa |
Purification : | Protein G Chromatography |
Content : | Purified monoclonal antibody supplied in PBS with 0.09% (W/V) sodium azide. |
Storage condition : | Maintain refrigerated at 2-8°C for up to 2 weeks. For long term store at -20°C in small aliquots to prevent freeze-thaw cycles. |
SNAREs, Soluble N-ethylmaleimide-sensitive factor- attachment protein receptors, are essential proteins for fusion of cellular membranes. SNAREs localized on opposing membranes assemble to form a trans-SNARE complex, an extended, parallel four alpha-helical bundle that drives membrane fusion. VAMP8 is a SNARE involved in autophagy through the direct control of autophagosome membrane fusion with the lysososome membrane. Also required for dense-granule secretion in platelets. Plays also a role in regulated enzyme secretion in pancreatic acinar cells. Involved in the abscission of the midbody during cell division, which leads to completely separate daughter cells. Involved in the homotypic fusion of early and late endosomes.
IHC-P~1:25|| WB~1:1000-1:2000
For Research Use Only. Not for use in diagnostic/therapeutics procedures.
Subcellular location: | Lysosome membrane, Early endosome membrane, Late endosome membrane, Cell membrane |
Tissue Specificity: | Platelets. |
BioGrid: | 114221. 40 interactions. |
There are currently no product reviews
|