Anti-Glycophorin A / CD235a (Erythrocyte Marker) Monoclonal Antibody(Clone: GYPA/3219R)

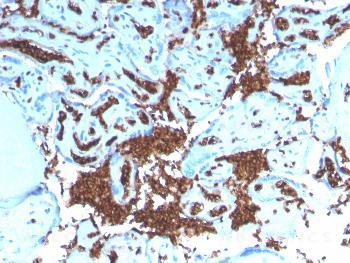
Fig. 1: Formalin-fixed, paraffin-embedded human Placenta stained with Glycophorin A Recombinant Rabbit Monoclonal Antibody (GYPA/3219R).
Roll over image to zoom in
Shipping Info:
For estimated delivery dates, please contact us at [email protected]
Amount : | 100 µg |
Isotype : | Rabbit IgG |
Content : | 200 µg/ml of Ab Purified from Bioreactor Concentrate by Protein A/G. Prepared in 10mM PBS with 0.05% BSA & 0.05% azide. Also available WITHOUT BSA & azide at 1.0mg/ml. |
Storage condition : | Antibody with azide - store at 2 to 8°C. Antibody without azide - store at -20 to -80°C. Antibody is stable for 24 months. Non-hazardous. |
Gene : | GYPA |
Gene ID : | 2993; 2994 |
Uniprot ID : | P02724 |
Alternative Name : | Blood group--MN locus; GPA; GPErik; GpMiIII; GPSAT; GYPA; MN sialoglycoprotein; MNS; PAS2; Sialoglycoprotein alpha |
Immunogen Information : | Recombinant full-length human GYPA protein |
Recognizes a sialoglycoprotein of 39kDa, identified as glycophorin A (GPA). It is present on red blood cells (RBC) and erythroid precursor cells. It has been shown that glycophorin acts as the receptor for Sandei virus and parvovirus. Glycophorins A (GPA) and B (GPB), which are single, trans-membrane sialoglycoproteins. GPA is the carrier of blood group M and N specificities, while GPB accounts for S and U specificities. GPA and GPB provide the cells with a large mucin like surface and it has been sµggested this provides a barrier to cell fusion, so minimizing aggregation between red blood cells in the circulation.
Immunohistochemistry (Formalin-fixed) (0.1-0.2ug/ml for 30 min at RT)(Staining of formalin-fixed tissues requires heating tissue sections in 10mM Tris with 1mM EDTA, pH 9.0, for 45 min at 95°C followed by cooling at RT for 20 minutes);
For Research Use Only. Not for use in diagnostic/therapeutics procedures.
There are currently no product reviews
|