Anti-Kappa Light Chain / IGKC (B-Cell Marker) Monoclonal Antibody(Clone: KLC2886R)

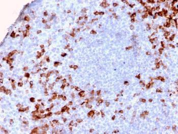
Fig. 1: Formalin-fixed, paraffin-embedded human Tonsil stained with Kappa Lt. Chain Recombinant Rabbit Monoclonal Antibody (KLC/2886R).
Roll over image to zoom in
Shipping Info:
For estimated delivery dates, please contact us at [email protected]
Amount : | 100 µg |
Isotype : | Rabbit IgG |
Content : | 200 µg/ml of Ab Purified from Bioreactor Concentrate by Protein A/G. Prepared in 10mM PBS with 0.05% BSA & 0.05% azide. Also available WITHOUT BSA & azide at 1.0mg/ml. |
Storage condition : | Antibody with azide - store at 2 to 8°C. Antibody without azide - store at -20 to -80°C. Antibody is stable for 24 months. Non-hazardous. |
Gene : | IGKC |
Gene ID : | 3514 |
Uniprot ID : | P01601; P01834 |
Alternative Name : | HCAK1; Ig Kappa Chain C Region; IGKC; Immunoglobulin KM |
Immunogen Information : | Recombinant full-length human Ig kappa chain |
Immunohistochemistry (Formalin-fixed) (1-2ug/ml for 30 min at RT)(Staining of formalin-fixed tissues requires heating tissue sections in 10mM Tris with 1mM EDTA, pH 9.0, for 45 min at 95°C followed by cooling at RT for 20 minutes);
For Research Use Only. Not for use in diagnostic/therapeutics procedures.
There are currently no product reviews
|