Anti-PAI-RBP1 / SERBP1 / SERPINE1 Monoclonal Antibody(Clone: SERBP1/3493)

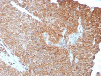
Fig. 1: Formalin-fixed, paraffin-embedded human Urothelial Carcinoma stained with PAI-RBP1 Mouse Monoclonal Antibody (SERBP1/3493).
Roll over image to zoom in
Shipping Info:
For estimated delivery dates, please contact us at [email protected]
Amount : | 100 µg |
Isotype : | Mouse IgG2b, kappa |
Content : | 200 µg/ml of Ab Purified from Bioreactor Concentrate by Protein A/G. Prepared in 10mM PBS with 0.05% BSA & 0.05% azide. Also available WITHOUT BSA & azide at 1.0mg/ml. |
Storage condition : | Antibody with azide - store at 2 to 8°C. Antibody without azide - store at -20 to -80°C. Antibody is stable for 24 months. Non-hazardous. |
Gene : | SERBP1 |
Gene ID : | 26135 |
Uniprot ID : | Q8NC51 |
Alternative Name : | CGI 55; CHD3IP; Chromodomain helicase DNA binding protein 3 interacting protein; HABP4L; PAI1 RNA-binding protein 1; PAIRBP1; Plasminogen activator inhibitor 1 RNA binding protein; SERPINE1 mRNA binding protein 1 |
Immunogen Information : | Recombinant fragment of human SERBP1 protein (around aa3-139) (exact sequence is proprietary) |
Western Blot (1-2ug/ml); ,Immunohistochemistry (Formalin-fixed) (1-2ug/ml for 30 minutes at RT),(Staining of formalin-fixed tissues requires heating tissue sections in 10mM Tris with 1mM EDTA, pH 9.0, for 45 min at 95 °C followed by cooling at RT for 20 minutes),
For Research Use Only. Not for use in diagnostic/therapeutics procedures.
There are currently no product reviews
|