Anti-KBA.62 (Melanoma Associated Antigen) Monoclonal Antibody (Clone:IHC062)

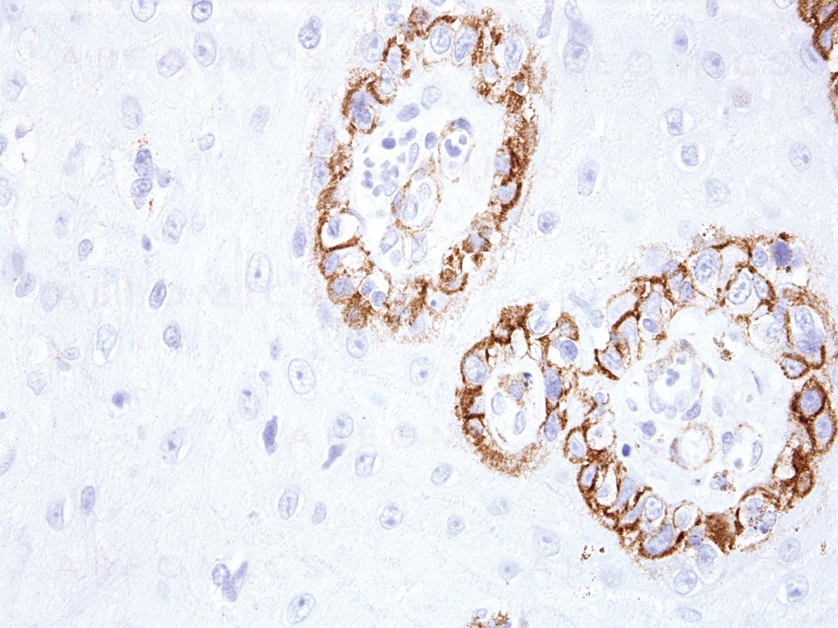
Figure 1: Immunohistochemical analysis of KBA.62 (Melanoma Associated Antigen) (IHC062) on Melanoma
Roll over image to zoom in
Shipping Info:
For estimated delivery dates, please contact us at [email protected]
Format : | Purified |
Amount : | 1 ml |
Purification : | Protein A/G Chromatography |
Storage condition : | Store at 2°C - 8°C. |
KBA.62, also known as Melanoma Associated Antigen, is used to detect an antigen present in melanocytic tumors, such as melanomas, due to its proven sensitivity and specificity. The antibody can also be used to distinguish between junctional nevus and intradermal nevus cells, and fetal melanocytes versus normal adult melanocytes. Studies have shown KBA.62 to be highly useful in differentiating between metastatic amelanotic melanoma and a number of poorly differentiated carcinomas, large cell lymphomas, sarcomas, and spindle cell carcinomas.
Recommended dilutions: Immunohistochemical analysis: 1:100 - 1:200. However, this need to be optimized based on the research applications.
For Research Use Only. Not for use in diagnostic/therapeutics procedures.
There are currently no product reviews
|