Anti-Lactoylglutathione Lyase Monoclonal Antibody(Clone: CPTC-GLO1-3)

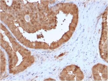
Fig. 1: Formalin-fixed, paraffin-embedded human Prostate Carcinoma stained with Lactoylglutathione Lyase Mouse Monoclonal Antibody (CPTC-GLO1-3).
Roll over image to zoom in
Shipping Info:
For estimated delivery dates, please contact us at [email protected]
Amount : | 100 µg |
Isotype : | Mouse IgG1 |
Content : | 200 µg/ml of Ab Purified from Bioreactor Concentrate by Protein A/G. Prepared in 10mM PBS with 0.05% BSA & 0.05% azide. Also available WITHOUT BSA & azide at 1.0mg/ml. |
Storage condition : | Antibody with azide - store at 2 to 8°C. Antibody without azide - store at -20 to -80°C. Antibody is stable for 24 months. Non-hazardous. |
Gene : | GLO1 |
Gene ID : | 2739 |
Uniprot ID : | Q04760 |
Alternative Name : | Aldoketomutase; epididymis secretory protein Li 74; Glo1; Glx I; glyoxalase 1 complex; glyoxalase 1 regulatory; glyoxalase 1 structural; glyoxalase domain containing 1; Glyoxalase I; glyoxylase 1; Ketone-aldehyde mutase; lactoyl glutathione lyase; Lactoylglutathione lyase; Methylglyoxalase; S-D-lactoylglutathione methylglyoxal lyase |
Immunogen Information : | Recombinant full-length human GLO1 protein |
Western Blot (1-2ug/ml);Immunohistochemistry (Formalin-fixed) (1-2ug/ml for 30 min at RT)(Staining of formalin-fixed tissues requires heating tissue sections in 10mM Tris with 1mM EDTA, pH 9.0, for 45 min at 95°C followed by cooling at RT for 20 minutes);
For Research Use Only. Not for use in diagnostic/therapeutics procedures.
There are currently no product reviews
|