Anti-LMO2 (B-Cell Marker) Monoclonal Antibody(Clone: rLMO2/1971)

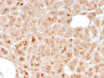
Fig. 1: Formalin-fixed, paraffin-embedded human pancreas stained with LMO2 Mouse Monoclonal Antibody (rLMO2/1971).
Roll over image to zoom in
Shipping Info:
For estimated delivery dates, please contact us at [email protected]
Amount : | 100 µg |
Isotype : | Mouse IgG1, kappa |
Content : | 200 µg/ml of Ab Purified from Bioreactor Concentrate by Protein A/G. Prepared in 10mM PBS with 0.05% BSA & 0.05% azide. Also available WITHOUT BSA & azide at 1.0mg/ml. |
Storage condition : | Antibody with azide - store at 2 to 8°C. Antibody without azide - store at -20 to -80°C. Antibody is stable for 24 months. Non-hazardous. |
Gene : | LMO2 |
Gene ID : | 4005 |
Uniprot ID : | P25791 |
Alternative Name : | Cysteine-rich protein TTG-2; LIM domain only protein 2; LMO-2; RBTN L1; RBTN2; Rhombotin like 1; Rhombotin-2 (RHOM2); T-cell translocation protein 2; TTG2 |
Immunogen Information : | Recombinant human LMO2 protein fragment (around aa 23-140) (exact sequence is proprietary) |
Flow Cytometry (1-2ug/million cells); Western Blot (1-2ug/ml);,Immunohistochemistry (Formalin-fixed) (1-2ug/ml for 30 minutes at RT),(Staining of formalin-fixed tissues requires heating tissue sections in 10mM Tris with 1mM EDTA, pH 9.0, for 45 min at 95 °C followed by cooling at RT for 20 minutes),
For Research Use Only. Not for use in diagnostic/therapeutics procedures.
There are currently no product reviews
|