Anti-MUC1 / CA15-3 / EMA / CD227 (Epithelial Marker) Monoclonal Antibody(Clone: SPM493)
 
		
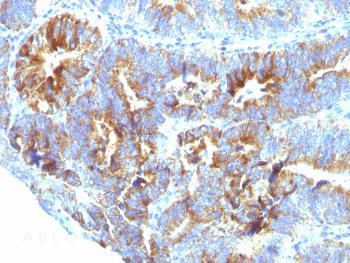
			Fig. 1: Formalin-fixed, paraffin-embedded human Colon Carcinoma stained with MUC1 / CA15-3 / EMA Mouse Monoclonal Antibody (SPM493).
Roll over image to zoom in
Shipping Info:
For estimated delivery dates, please contact us at [email protected]
| Amount : | 100 µg | 
| Isotype : | Mouse IgG1, kappa | 
| Content : | 200 µg/ml of Ab Purified from Bioreactor Concentrate on Protein A/G. Prepared in 10mM PBS with 0.05% BSA & 0.05% azide. Also available WITHOUT BSA & azide at 1.0mg/ml. | 
| Storage condition : | Antibody with azide - store at 2 to 8°C. Antibody without azide - store at -20 to -80°C. Antibody is stable for 24 months. Non-hazardous. | 
| Gene : | MUC1 | 
| Gene ID : | 4582 | 
| Uniprot ID : | P15941 | 
| Alternative Name : | Breast carcinoma-associated antigen DF3, CA15-3, Carcinoma-associated mucin Episialin, Epithelial Membrane Antigen, H23AG, KL-6, MAM6, MUC-1, MUC-1/SEC, MUC-1/X, MUC1-alpha, MUC1-beta, MUC1-CT, MUC1-NT, MUC1/ZD, Mucin 1 cell surface associated, Mucin-1 subunit beta, Peanut-reactive urinary mucin, PEM, PEMT, Polymorphic epithelial mucin, PUM, Tumor-associated epithelial membrane antigen | 
| Immunogen Information : | Human breast cancer cell line ZR-75 cells | 
This MAb reacts with MUC1/EMA. It is a large cell surface mucin glycoprotein expressed by most glandular and ductal epithelial cells. It is expressed on most secretory epithelium, including mammary gland. It is expressed abundantly in lactating mammary glands and over expressed abundantly in 90% breast carcinomas and metastases.MUC1/EMA may provide a protective layer on epithelial cells against bacterial and enzyme attack.In immunohistochemical assays, it superbly stains routine formalin-paraffin carcinoma tissues. Antibody to EMA is useful as a pan-epithelial marker for detecting early metastatic loci of carcinoma in bone marrow or liver.
ELISA (For coating use Ab at 2-5ug/ml, order Ab without BSA) (Very good capturing Ab); Flow Cytometry (0.25-0.5ug/million cells); Immunofluorescence (1-2ug/ml); Immunohistochemistry (Formalin-fixed) (1-2ug/ml for 30 minutes at RT)(Staining of formalin-fixed tissues requires heating tissue sections in 10mM Tris with 1mM EDTA, pH 9.0, for 45 min at 95°C followed by cooling at RT for 20 minutes);
For Research Use Only. Not for use in diagnostic/therapeutics procedures.
| 
                    	There are currently no product reviews | 

















.png)








 
					



