Anti-Bcl-6 (Follicular Lymphoma Marker) Monoclonal Antibody(Clone: rBCL6/1718)

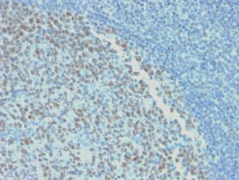
Fig. 1: Formalin-fixed, paraffin-embedded human Tonsil stained with BCL-6 Mouse Recombinant Monoclonal Antibody (rBCL6/1718).
Roll over image to zoom in
Shipping Info:
For estimated delivery dates, please contact us at [email protected]
Amount : | 100 µg |
Isotype : | Mouse IgG1, kappa |
Content : | 200 µg/ml of Ab Purified from Bioreactor Concentrate by Protein A/G. Prepared in 10mM PBS with 0.05% BSA & 0.05% azide. Also available WITHOUT BSA & azide at 1.0mg/ml. |
Storage condition : | Antibody with azide - store at 2 to 8°C. Antibody without azide - store at -20 to -80°C. Antibody is stable for 24 months. Non-hazardous. |
Gene : | BCL6 |
Gene ID : | 604 |
Uniprot ID : | P41182 |
Alternative Name : | B-cell lymphoma 5 protein; B-Cell Lymphoma 6 Protein; BCL5; BCL6; BCL6A; cys his2 zinc finger transcription factor; Lymphoma Associated Zinc Finger Gene On Chromosome 3 (LAZ3); Zinc finger and BTB domain-containing protein 27 (ZBTB27); Zinc Finger Protein 51 (ZNF51); zinc finger transcription factor BCL6S |
Immunogen Information : | Recombinant human bcl-6 protein fragment (aa256-389) (exact sequence is proprietary) |
Immunohistochemistry (Formalin-fixed) (1-2ug/ml for 30 minutes at RT)(Staining of formalin-fixed tissues requires heating tissue sections in 10mM Tris with 1mM EDTA, pH 9.0, for 45 min at 95°C followed by cooling at RT for 20 minutes)
For Research Use Only. Not for use in diagnostic/therapeutics procedures.
There are currently no product reviews
|