Anti-S100A4 / Metastasin / Calvasculin (Marker of Tumor Metastasis) Monoclonal Antibody(Clone: S100A4/1481)

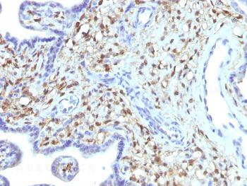
Fig. 1: Formalin-fixed, paraffin-embedded human Placenta stained with S100A4 Mouse Monoclonal Antibody (S100A4/1481).
Roll over image to zoom in
Shipping Info:
For estimated delivery dates, please contact us at [email protected]
Amount : | 100 µg |
Isotype : | Mouse IgG1, kappa |
Content : | 200 µg/ml of Ab Purified from Bioreactor Concentrate by Protein A/G. Prepared in 10mM PBS with 0.05% BSA & 0.05% azide. Also available WITHOUT BSA & azide at 1.0mg/ml. |
Storage condition : | Antibody with azide - store at 2 to 8°C. Antibody without azide - store at -20 to -80°C. Antibody is stable for 24 months. Non-hazardous. |
Gene : | S100A4 |
Gene ID : | 6275 |
Uniprot ID : | P26447 |
Alternative Name : | S100A4; S100 calcium-binding protein A4; Calvasculin; CAPL; Fibroblast specific protein 1 (FSP1); Leukemia multidrµg resistance associated protein; Malignant transformation suppression 1 (MTS1); Metastasin; Placental calcium-binding protein |
Immunogen Information : | Recombinant fragment (around aa 1-200) of human S100A4 protein (exact sequence is proprietary) |
S100A4 belongs to the S100 super-family of proteins containing 2 EF-hand calcium-binding domains. S100 genes include at least 25 members, including S100A1-S100A18, trichohyalin, filaggrin, repetin, S100P, and S100Z. S100A4 exerts its function via direct interaction with a number of proteins including P53, P63, non-muscle myosin IIA, 64 integrin, and liprin b1. S100A4 is overexpressed in highly metastatic cancers, which makes it useful as a marker of tumor progression.
Flow Cytometry (1-2ug/million cells); Immunofluorescence (1-2ug/ml); Western Blot (1-2ug/ml);,Immunohistochemistry (Formalin-fixed) (1-2ug/ml for 30 minutes at RT),(Staining of formalin-fixed tissues requires heating tissue sections in 10mM Tris with 1mM EDTA, pH 9.0, for 45 min at 95°C followed by cooling at RT for 20 minutes);
For Research Use Only. Not for use in diagnostic/therapeutics procedures.
There are currently no product reviews
|