Anti-Spectrin Alpha 1 (Erythrocyte Marker) Monoclonal Antibody(Clone: rSPTA1/1832)

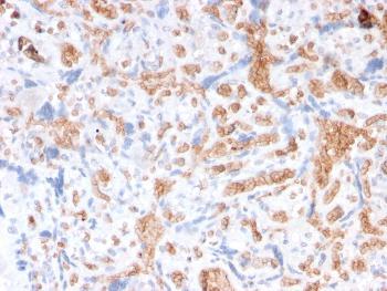
Fig. 1: Formalin-fixed, paraffin-embedded human Placenta stained with Spectrin alpha 1 Mouse Recombinant Monoclonal Antibody (rSPTA1/1832).
Roll over image to zoom in
Shipping Info:
For estimated delivery dates, please contact us at [email protected]
Amount : | 100 µg |
Isotype : | Mouse IgG1, kappa |
Content : | 200 µg/ml of Ab Purified from Bioreactor Concentrate by Protein A/G. Prepared in 10mM PBS with 0.05% BSA & 0.05% azide. Also available WITHOUT BSA & azide at 1.0mg/ml. |
Storage condition : | Antibody with azide - store at 2 to 8°C. Antibody without azide - store at -20 to -80°C. Antibody is stable for 24 months. Non-hazardous. |
Gene : | SPTA1 |
Gene ID : | 6708 |
Uniprot ID : | P02549 |
Alternative Name : | Alpha I spectrin; Elliptocytosis 2 (EL2); Erythrocyte alpha spectrin; Erythroid alpha-spectrin; HPP; HS3; Spectrin alpha erythrocytic 1; SPH3; SPTA1 |
Immunogen Information : | Recombinant fragment of human SPTA (around aa356-475) (exact sequence is proprietary) |
Western Blot (1-2ug/ml);Immunohistochemistry (Formalin-fixed) (1-2ug/ml for 30 minutes at RT) (Staining of formalin-fixed tissues requires heating tissue sections in 10mM Tris with 1mM EDTA, pH 9.0, for 45 min at 95°C followed by cooling at RT for 20 minutes);
For Research Use Only. Not for use in diagnostic/therapeutics procedures.
There are currently no product reviews
|