Anti-Spectrin beta III (SPTBN2) Monoclonal Antibody(Clone: SPTBN2/1584)

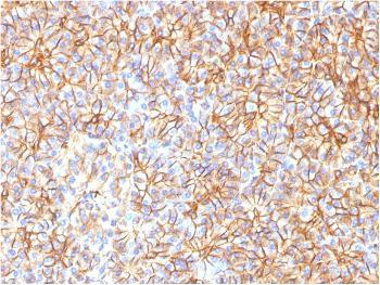
Fig. 1: Formalin-fixed, paraffin-embedded human Pancreas stained with Spectrin beta III Monoclonal Antibody (SPTBN2/1584).
Roll over image to zoom in
Shipping Info:
For estimated delivery dates, please contact us at [email protected]
Amount : | 100 µg |
Isotype : | Mouse IgG1, kappa |
Content : | 200 µg/ml of Ab Purified from Bioreactor Concentrate by Protein A/G. Prepared in 10mM PBS with 0.05% BSA & 0.05% azide. Also available WITHOUT BSA & azide at 1.0mg/ml. |
Storage condition : | Antibody with azide - store at 2 to 8°C. Antibody without azide - store at -20 to -80°C. Antibody is stable for 24 months. Non-hazardous. |
Gene : | SPTBN2 |
Gene ID : | 6712 |
Uniprot ID : | O15020 |
Alternative Name : | Beta III spectrin; SCA5; Spectrin beta chain brain 2; Spectrin beta non-erythrocytic 2; Spectrin non-erythroid beta chain 2; Spinocerebellar ataxia 5; SPTBN2 |
Immunogen Information : | Recombinant fragment (around aa356-475) of human SPTBN2 protein (exact sequence is proprietary) |
Spectrin is an actin binding protein that is a major component of the plasma membrane skeleton. Spectrins function as membrane organizers and stabilizers by forming dimers, tetramers and higher polymers. Vertebrate spectrins have two alpha-subunits (alpha-I/alpha-II) four beta-subunits (beta-I-beta-IV) and a beta-H subunit creating diversity and specialization of function. Spectrin III is highly expressed in brain, kidney, pancreas and liver, and at lower levels in lung and placenta. Spectrin beta 3 is primarily expressed in nervous tissues with highest expression levels in the cerebellum, where it is found in Purkinje cell soma and dendrites.
Flow Cytometry (1-2ug/million cells); Immunofluorescence (1-2ug/ml); Western Blot (1-2ug/ml);Immunohistochemistry (Formalin-fixed) (1-2ug/ml for 30 minutes at RT) (Staining of formalin-fixed tissues requires heating tissue sections in 10mM Tris with 1mM EDTA, pH 9.0, for 45 min at 95°C followed by cooling at RT for 20 minutes);
For Research Use Only. Not for use in diagnostic/therapeutics procedures.
There are currently no product reviews
|