Anti-Tenascin C (Stromal Marker for Epithelial Malignancy) Monoclonal Antibody(Clone: TNC/3635)
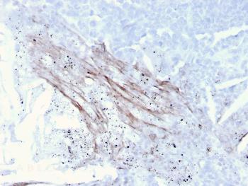
Fig. 1: Formalin-fixed, paraffin-embedded human Lung Carcinoma stained with Tenascin C Mouse Recombinant Monoclonal Antibody (TNC/3635).
Roll over image to zoom in
Shipping Info:
For estimated delivery dates, please contact us at [email protected]
| Amount : | 100 µg |
| Isotype : | Mouse IgG1, kappa |
| Content : | 200 µg/ml of Ab Purified from Bioreactor Concentrate by Protein A/G. Prepared in 10mM PBS with 0.05% BSA & 0.05% azide. Also available WITHOUT BSA & azide at 1.0mg/ml. |
| Storage condition : | Antibody with azide - store at 2 to 8°C. Antibody without azide - store at -20 to -80°C. Antibody is stable for 24 months. Non-hazardous. |
Immunohistochemistry (Formalin-fixed) (2-4ug/ml for 30 minutes at RT),(Staining of formalin-fixed tissues requires boiling tissue sections in 10mM Tris with 1mM EDTA, pH 9.0, for 10-20 min followed by cooling at RT for 20 minutes) ,
For Research Use Only. Not for use in diagnostic/therapeutics procedures.
|
There are currently no product reviews
|




















.png)














