Anti-MSH2 (DNA Mismatch Repair Marker) Monoclonal Antibody(Clone: MSH2/2622)
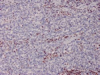
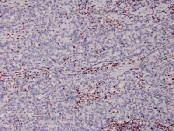
Fig. 1: Formalin-fixed, paraffin-embedded human Colon Carcinoma stained with MSH2 Mouse Monoclonal Antibody (MSH2/2622).
Roll over image to zoom in
Shipping Info:
For estimated delivery dates, please contact us at [email protected]
| Amount : | 100 µg |
| Isotype : | Mouse IgG1, kappa |
| Content : | 200 µg/ml of Ab Purified from Bioreactor Concentrate by Protein A/G. Prepared in 10mM PBS with 0.05% BSA & 0.05% azide. Also available WITHOUT BSA & azide at 1.0mg/ml. |
| Storage condition : | Antibody with azide - store at 2 to 8°C. Antibody without azide - store at -20 to -80°C. Antibody is stable for 24 months. Non-hazardous. |
| Gene : | MSH2 |
| Gene ID : | 4436 |
| Uniprot ID : | P43246 |
| Alternative Name : | BAT26; COCA1; DNA mismatch repair protein Msh2; FCC1; hMSH2; HNPCC1; LCFS2; MSH2; MutS homolog 2; MutS homolog 2 colon cancer nonpolyposis type 1; MutS protein homolog 2 |
| Immunogen Information : | Recombinant fragment (around aa 327-427) of human MSH2 protein (exact sequence is proprietary) |
Mutations in DNA mismatch repair genes are associated with hereditary nonpolyposis colorectal cancer (HNPCC). Initially, inherited mutations in the MSH2 and MLH1 homologs of the bacterial DNA mismatch repair genes MutS and MutL were found at high frequency in HNPCC and were shown to be associated with microsatellite instability. The demonstration that 10 to 45% of pancreatic, gastric, breast, ovarian and small cell lung cancers also display microsatellite instability has been interpreted to sµggest that DNA mismatch repair is not restricted to HNPCC tumors but is a common feature in tumor initiation or progression.
Flow Cytometry (1-2ug/million cells); Immunofluorescence (1-2ug/ml); Western Blot (1-2ug/ml); Immunohistochemistry (Formalin-fixed) (1-2ug/ml for 30 min at RT) (Staining of formalin-fixed tissues requires heating tissue sections in 10mM Tris with 1mM EDTA, pH 9.0, for 45 min at 95°C followed by cooling at RT for 20 minutes);
For Research Use Only. Not for use in diagnostic/therapeutics procedures.
|
There are currently no product reviews
|
























.png)













