Anti-Thymidylate Synthase Monoclonal Antibody (Clone:IHC697)-Ready to Use

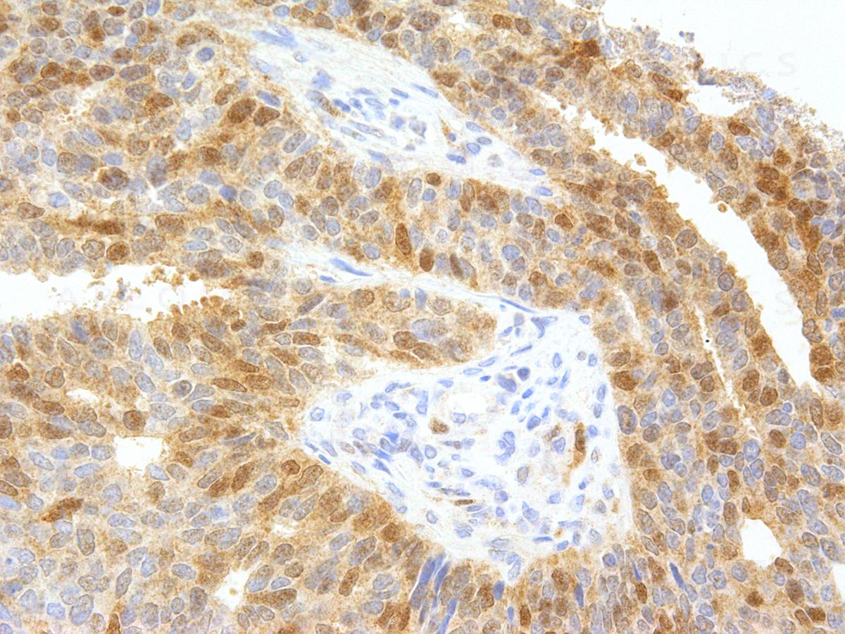
Figure 1: Immunohistochemical analysis of Thymidylate Synthase (IHC697) on Cervical Cancer
Roll over image to zoom in
Shipping Info:
For estimated delivery dates, please contact us at [email protected]
Format : | Predilute |
Amount : | 7 ml |
Purification : | Protein A/G Chromatography |
Storage condition : | Store at 2°C - 8°C. |
Thymidylate Synthase (TS) is a crucial enzyme responsible for the synthesis of 2'-deoxythymidine-5'-monophosphate (dTMP) a precursor for thymidylate which is necessary for DNA replication and repair from 2'-deoxyuridine-5'-monophosphate (dUMP). In terms of cancer, TS is an important target for cancer treatment as the inhibition of TS and therefore nucleotide synthesis necessary for cell growth has shown to be a vital part for successful treatment against colorectal, pancreatic and breast cancers.
This product is available in ready to use format, hence no dilution is required.
For Research Use Only. Not for use in diagnostic/therapeutics procedures.
There are currently no product reviews
|