Anti-TIGIT / VSTM3 / VSIG9 (Immune Checkpoint for Cancer) Monoclonal Antibody(Clone: TIGIT/3106)

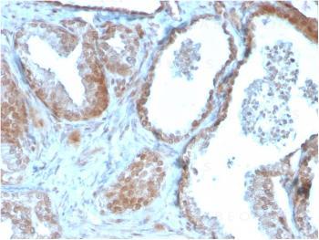
Fig. 1: Formalin-fixed, paraffin-embedded human Prostate Carcinoma stained with TIGIT-Monospecific Mouse Monoclonal Antibody (TIGIT/3106).
Roll over image to zoom in
Shipping Info:
For estimated delivery dates, please contact us at [email protected]
Amount : | 100 µg |
Isotype : | Mouse IgG2b, kappa |
Content : | 200 µg/ml of Ab Purified from Bioreactor Concentrate by Protein A/G. Prepared in 10mM PBS with0.05% BSA & 0.05% azide. Also available WITHOUT BSA & azide at 1.0mg/ml. |
Storage condition : | Antibody with azide - store at 2 to 8°C. Antibody without azide - store at -20 to -80°C. Antibody is stable for 24 months. Non-hazardous. |
Gene : | TIGIT |
Gene ID : | 201633 |
Uniprot ID : | Q4951 |
Alternative Name : | T-cell immunoreceptor with Ig and ITIM domains; V-set and immunoglobulin domain containing 9 (VSIG9); V-set and transmembrane domain containing 3 (VSTM3); Washington University Cell Adhesion Molecule (WUCAM) |
Immunogen Information : | Recombinant fragment (around aa 22-141) of human TIGIT protein (exact sequence is proprietary) |
ELISA (For coating, order antibody without BSA);,Immunohistochemistry (Formalin-fixed) (1-2ug/ml for 30 minutes at RT),(Staining of formalin-fixed tissues requires heating tissue sections in 10mM Tris with 1mM EDTA, pH 9.0, for 45 min at 95°C followed by cooling at RT for 20 minutes),
For Research Use Only. Not for use in diagnostic/therapeutics procedures.
There are currently no product reviews
|