Anti-TRAcP (Tartrate-Resistant Acid Phosphatase) (Hairy Cell Leukemia Marker) Recombinant Mouse Monoclonal Antibody (Clone:rACP5/1070)

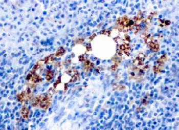
Figure 1: Formalin-fixed, paraffin-embedded human Spleen stained with TRAcP Mouse Recombinant Monoclonal Antibody (rACP5/1070).
Roll over image to zoom in
Shipping Info:
For estimated delivery dates, please contact us at [email protected]
Format : | Purified |
Amount : | 100 µg |
Isotype : | Mouse IgG1, kappa |
Purification : | Protein A/G |
Content : | 200µg/ml of recombinant MAb purified by Protein A/G. Prepared in 10mM PBS with 0.05% BSA & 0.05% azide. Also available WITHOUT BSA & azide at 1.0mg/ml. |
Storage condition : | Antibody with azide - store at 2 to 8°C. Antibody without azide - store at -20 to -80°C. Antibody is stable for 24 months. Non-hazardous. |
Gene : | ACP5 |
Gene ID : | 54 |
Uniprot ID : | P13686 |
Alternative Name : | Acid phosphatase 5, tartrate resistant; ACP5; serum band 5 tartrate-resistant acid phosphatase; SPENCDI; Tartrate-resistant acid ATPase; Tartrate-resistant acid phosphatase type 5; TR-AP; TRACP5; TRAcP; TRAP; TrATPase; Type 5 acid phosphatase |
Immunogen Information : | Recombinant full-length human ACP5 protein |
Immunohistochemistry (Formalin-fixed) (1-2µg/ml for 30 minutes at RT)(Staining of formalin-fixed tissues requires heating tissue sections in 10mM Tris with 1mM EDTA, pH 9.0, for 45 min at 95°C followed by cooling at RT for 20 minutes);
For Research Use Only. Not for use in diagnostic/therapeutics procedures.
Subcellular location: | Lysosome |
BioGrid: | 106570. 25 interactions. |
There are currently no product reviews
|