Anti-Cytokeratin 6A (KRT6A) (Basal Cell Marker) Monoclonal Antibody(Clone: KRT6A/2368)

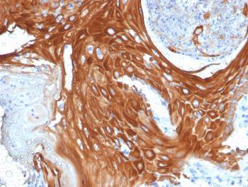
Fig. 1: Formalin-fixed, paraffin-embedded human Basal Cell Carcinoma stained with Cytokeratin 6A (KRT6A) Mouse Monoclonal Antibody (KRT6A/2368).
Roll over image to zoom in
Shipping Info:
For estimated delivery dates, please contact us at [email protected]
Amount : | 100 µg |
Isotype : | Mouse IgG2a, kappa |
Content : | 200 µg/ml of Ab Purified from Bioreactor Concentrate by Protein A/G. Prepared in 10mM PBS with 0.05% BSA & 0.05% azide. Also available WITHOUT BSA & azide at 1.0mg/ml. |
Storage condition : | Antibody with azide - store at 2 to 8°C. Antibody without azide - store at -20 to -80°C. Antibody is stable for 24 months. Non-hazardous. |
Gene : | KRT6A |
Gene ID : | 3853 |
Uniprot ID : | P02538 |
Alternative Name : | 58kDa Cytokeratin; CK5; Cytokeratin-5; DDD1; Epidermolysis Bullosa Simplex 2 (EBS2); Keratin 5; Keratin, Type II Cytoskeletal 5; Keratin-5; KRT5; Type-II Cytoskeletal 5; Type-II keratin Kb5 |
Immunogen Information : | Recombinant full-length human Cytokeratin 6A (KRT6A) protein |
Flow Cytometry (1-2ug/million cells); ,Immunohistochemistry (Formalin-fixed) (1-2ug/ml for 30 minutes at RT),(Staining of formalin-fixed tissues requires heating tissue sections in 10mM Tris with 1mM EDTA, pH 9.0, for 45 min at 95 °C followed by cooling at RT for 20 minutes),
For Research Use Only. Not for use in diagnostic/therapeutics procedures.
There are currently no product reviews
|