Anti-TTF-1 / NKX2.1 (Thyroid & Lung Epithelial Marker) Recombinant Mouse Monoclonal Antibody (Clone:rNX2.1/690)

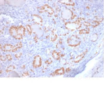
Figure 1: Formalin-fixed, paraffin-embedded human Lung Adenocarcinoma stained with TTF-1 Mouse Recombinant Monoclonal Antibody (rNX2.1/690).
Roll over image to zoom in
Shipping Info:
For estimated delivery dates, please contact us at [email protected]
Format : | Purified |
Amount : | 100 µg |
Isotype : | Mouse IgG1, kappa |
Purification : | Protein A/G |
Content : | 200µg/ml of recombinant MAb purified by Protein A/G. Prepared in 10mM PBS with 0.05% BSA & 0.05% azide. Also available WITHOUT BSA & azide at 1.0mg/ml. |
Storage condition : | Antibody with azide - store at 2 to 8°C. Antibody without azide - store at -20 to -80°C. Antibody is stable for 24 months. Non-hazardous. |
Gene : | NKX2-1 |
Gene ID : | 7080 |
Uniprot ID : | P43699 |
Alternative Name : | BCH, Benign chorea, BHC, Homeobox protein Nkx2.1, NK2 homeobox 1, NKX2.1, NKX2A, TEBP, Thyroid nuclear factor-1, Thyroid specific enhancer binding protein, Thyroid transcription factor-1 (TTF-1), Tin man, TITF1, TTF-1 |
Immunogen Information : | Recombinant full-length TTF-1 protein |
Recognizes a protein of 40kDa, identified as Thyroid transcription factor-1 (TTF-1). TTF-1 is a member of the NKx2 family of homeodomain transcription factors. It is expressed in epithelial cells of the thyroid gland and the lung. Nuclei from liver, stomach, pancreas, small intestine, colon, kidney, breast, skin, testes, pituitary, prostate, and adrenal glands are unreactive. Anti-TTF-1 is useful in differentiating primary adenocarcinoma of the lung from metastatic carcinomas originating in the breast, mediastinal germ cell tumors, and malignant mesothelioma. It can also be used to differentiate small cell lung carcinoma from lymphoid infiltrates. Loss of TTF-1 expression in non-small cell lung carcinoma has been associated with aggressive behavior of such neoplasms. TTF-1 reactivity is also seen in thyroid malignancies.
Immunohistochemistry (Formalin-fixed) (1-2µg/ml for 30 minutes at RT)(Staining of formalin-fixed tissues requires heating tissue sections in 10mM Tris with 1mM EDTA, pH 9.0, for 45 min at 95°C followed by cooling at RT for 20 minutes);
For Research Use Only. Not for use in diagnostic/therapeutics procedures.
Subcellular location: | Nucleus |
Post transnational modification: | Phosphorylated on serine residues by STK3/MST2. |
Tissue Specificity: | Thyroid and lung. |
BioGrid: | 112936. 11 interactions. |
There are currently no product reviews
|