Anti-Tyrosinase-Related Protein-1 (TYRP-1) (Melanoma Marker) Monoclonal Antibody(Clone: TYRP1/1564R)

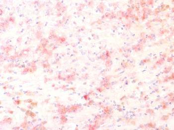
Fig. 1: Formalin-fixed, paraffin-embedded human Melanoma stained with TYRP1 Rabbit Recombinant Monoclonal Antibody (TYRP1/1564R) using AEC Chromogen.
Roll over image to zoom in
Shipping Info:
For estimated delivery dates, please contact us at [email protected]
Amount : | 100 µg |
Isotype : | Rabbit IgG |
Content : | 200 µg/ml of Ab Purified by Protein A. Prepared in 10mM PBS with 0.05% BSA & 0.05% azide. Also available WITHOUT BSA & azide at 1.0mg/ml. |
Storage condition : | Antibody with azide - store at 2 to 8°C. Antibody without azide - store at -20 to -80°C. Antibody is stable for 24 months. Non-hazardous. |
Gene : | TYRP1 |
Gene ID : | 7306 |
Uniprot ID : | P17643 |
Alternative Name : | 5, 6 dihydroxyindole 2 carboxylic acid oxidase, 6-dihydroxyindole-2-carboxylic acid oxidase, Associated with iris pigmentation, CAS2, Catalase B (CATB), DHICA oxidase, Glycoprotein75 (GP75), Melanoma antigen gp75, Tyrosinase-related protein 1 (TYRP1), TYRRP |
Immunogen Information : | Recombinant human TYRP1 protein |
Immunohistochemistry (Formalin-fixed) (1-2ug/ml for 30 minutes at RT)(Staining of formalin-fixed tissues requires heating tissue sections in 10mM Tris with 1mM EDTA, pH 9.0, for 45 min at 95°C followed by cooling at RT for 20 minutes);
For Research Use Only. Not for use in diagnostic/therapeutics procedures.
There are currently no product reviews
|