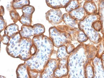
Anti-VISTA / GI24 (Negative Regulator of Immune Response) Monoclonal Antibody(Clone: VISTA/3006)
 
		
			Fig. 1: Formalin-fixed, paraffin-embedded human Placenta stained with Monospecific Mouse Monoclonal Antibody to VISTA (VISTA/3006).
Roll over image to zoom in
Shipping Info:
For estimated delivery dates, please contact us at [email protected]
| Amount : | 100 µg | 
| Isotype : | Mouse IgG2b, kappa | 
| Content : | 200 µg/ml of Ab Purified from Bioreactor Concentrate by Protein A/G. Prepared in 10mM PBS with 0.05% BSA & 0.05% azide. Also available WITHOUT BSA & azide at 1.0mg/ml. | 
| Storage condition : | Antibody with azide - store at 2 to 8°C. Antibody without azide - store at -20 to -80°C. Antibody is stable for 24 months. Non-hazardous. | 
| Gene : | VSIR | 
| Gene ID : | 64115 | 
| Uniprot ID : | Q9H7M9 | 
| Alternative Name : | B7H5; DD1alpha; GI24; PD-1H; PDCD1 homolog; Platelet receptor Gi24; PP2135; Stress-induced secreted protein 1 (SISP1); V domain Ig suppressor of T cell activation; V Set Immuno-regulatory Receptor | 
| Immunogen Information : | Recombinant full-length human VISTA protein | 
ELISA (For coating, order antibody without BSA);,Immunohistochemistry (Formalin-fixed) (1-2ug/ml for 30 minutes at RT),(Staining of formalin-fixed tissues requires heating tissue sections in 10mM Tris with 1mM EDTA, pH 9.0, for 45 min at 95°C followed by cooling at RT for 20 minutes),
For Research Use Only. Not for use in diagnostic/therapeutics procedures.
| 
                    	There are currently no product reviews | 



















.png)








 
					



