Monoclonal Antibody to ACTH (Clone: AH26)

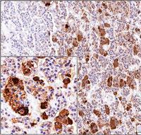
Fig: 1 Immunohistochemical analysis of ACTH in human pituitary gland using ACTH antibody (Clone: AH26) at 1:2000 dilution.
Roll over image to zoom in
Shipping Info:
For estimated delivery dates, please contact us at [email protected]
Format : | Purified |
Amount : | 100 µg |
Isotype : | Mouse IgG1, kappa |
Purification : | Protein G Chromatography |
Content : | 25 µg in 50 µl/100 µg in 200 µl PBS containing 0.05% BSA and 0.05% sodium azide. Sodium azide is highly toxic. |
Storage condition : | Store the antibody at 4°C; stable for 6 months. For long-term storage; store at -20°C. Avoid repeated freeze and thaw cycles. |
ACTH (Adrenocorticotrophic hormone) is produced and secreted by the anterior pituitary gland, and is a key component of the hypothalamic-pituitary-adrenal axis. ACTH is synthesized from the precursor molecule pre-opiomelanocorin (POMC). POMC undergoes proteolytic cleavages and processing to generate not only ACTH but also a number of other small biologically active peptides including alpha-MSH and beta-endorphin, all in cell type specific manners. The production of ACTH is triggered by biological stress. ACTH, in turn, then stimulates the secretion of corticosteroids by the adrenal cortex. The half-life of ACTH in human blood is only about ten minutes. An excess of ACTH can cause Cushing's syndrome whereas ACTH deficiency can result in secondary adrenal insufficiency.
Flow Cytometry (0.5-1ug/million cells), Immunofluorescence (1-2ug/ml), Immunohistochemistry (Formalin-fixed) (0.5-1ug/ml for 30 minutes at RT)(Staining of formalin-fixed tissues requires heating tissue sections in 10mM Tris with 1mM EDTA, pH 9.0, for 45 min at 95 °C followed by cooling at RT for 20 minutes)
For Research Use Only. Not for use in diagnostic/therapeutics procedures.
Subcellular location: | Secreted |
Post transnational modification: | O-glycosylated; reducing sugar is probably N-acetylgalactosamine. |
Tissue Specificity: | ACTH and MSH are produced by the pituitary gland. |
BioGrid: | 111439. 14 interactions. |
There are currently no product reviews
|